国际口腔医学杂志 ›› 2018, Vol. 45 ›› Issue (6): 657-665.doi: 10.7518/gjkq.2018.06.007

• 材料学专栏 • 上一篇    下一篇

聚醚醚酮在口腔种植与修复领域的研究进展

陈曦,于海洋()   

  1. 口腔疾病研究国家重点实验室 国家口腔疾病临床医学研究中心 四川大学华西口腔医院修复科 成都 610041
  • 收稿日期:2017-12-20 修回日期:2018-06-28 出版日期:2018-11-01 发布日期:2018-11-15
  • 通讯作者: 于海洋
  • 作者简介:陈曦,博士,Email: xxdkaj@foxmail.com
  • 基金资助:
    国家自然科学基金(81571006);国家自然科学基金(81771113)

Research progress on polyetheretherketone in oral implantology and prosthodontics

Xi Chen,Haiyang Yu()   

  1. State Key Laboratory of Oral Diseases & National Clinical Research Center for Oral Diseases & Dept. of Prosthodontics, West China Hospital of Stomatology, Sichuan University, Chengdu 610041, China
  • Received:2017-12-20 Revised:2018-06-28 Online:2018-11-01 Published:2018-11-15
  • Contact: Haiyang Yu
  • Supported by:
    This study was supported by National Natural Science Foundation of China(81571006);This study was supported by National Natural Science Foundation of China(81771113)

摘要:

聚醚醚酮(PEEK)为线性芳香族高分子化合物,自面世以来,凭借其卓越的力学性能和化学稳定性,广泛应用于航空航天、汽车制造以及精密仪器制造等高科技领域。此外,PEEK材料可靠的生物安全性、适宜的弹性模量、良好的表面性能等特性使得其在医学领域也得到了广泛应用。目前,PEEK在口腔医学领域中的应用正逐渐增多,如作为种植体、临时基台、固定及可摘义齿材料等越来越引起学者的关注。本文就PEEK材料在口腔种植与修复领域的研究进展作一综述。

关键词: 聚醚醚酮, 种植体, 骨整合, 固定义齿, 可摘局部义齿

Abstract:

Polyetheretherketone (PEEK) is a linear aromatic polymer with excellent mechanical properties and chemical stability. PEEK has been widely used in aerospace, automobile and precision instrument manufacturing, and other high-tech fields. In addition, the reliable bio-safety, suitable elastic modulus, and good surface properties of PEEK materials have made it widely used in the medical field. Currently, the application of PEEK and its attraction among scholars are gradually increasing in stomatology applications, such as implants, temporary abutment, and fixed and removable denture materials. In this article, the research progress of PEEK on oral implantology and prosthodontics is reviewed.

Key words: polyetheretherketone, implant, osseointegration, fixed partial denture, removable partial denture

中图分类号: 

  • R783.1

图 1

PEEK单体单元的化学结构"

表 1

不同材料的弹性模量和拉伸强度"

材料 弹性模量/GPa 拉伸强度/MPa
PEEK 3~4 80
碳纤维加强PEEK 19~150 120
102~110 954~976
骨密质 14 104~121
釉质 40~83 47.5
牙本质 15 104

表 2

不同种植基台材料对比"

基台材料 弹性模量(弯曲强度)/GPa 断裂韧性/(MPa·m-2 维氏硬度/(kg·mm-2 基台
102~117 55 263~330 一体式或二件式
78~100 20~40 130~250 一体式
钴铬合金 240 100~150 350~390 一体式
致密烧结氧化铝 380~410 3.5 1 200 一体式
氧化锆 170~410 3.5~20 1 200~1 750 一体式或二件式
二硅酸锂 90~100 2.0~3.3 560~591 二件式
混合陶瓷 10.8~63.0 0.85~2.65 255~700 二件式
PEEK 4.0 1~7 110 二件式

图 2

PEEK卡环"

图 3

下颌PEEK支架可摘局部义齿"

表 3

不同材料3单位固定修复体的断裂载荷"

修复体材料 断裂载荷/N
PEEK/PEEK复合材料 1 738~2 354[57](平均2 055)
硅酸锂玻璃陶瓷 950
In-Ceram氧化铝 851[58]
In-Ceram氧化锆 841[59]
氧化锆 981~1 331[60]
PMMA等复合材料 268~467[58]

表 4

不同材料表面喷砂后与树脂粘接剂间的拉伸粘接强度"

材料 拉伸粘接强度/MPa
氧化锆 21.9~42.8[69]
硅酸锂陶瓷 37.9~49.5[70]
金基合金/钯基合金 17.0~20.0[71]
PEEK(使用预处理剂) 40.0~69.0[66]

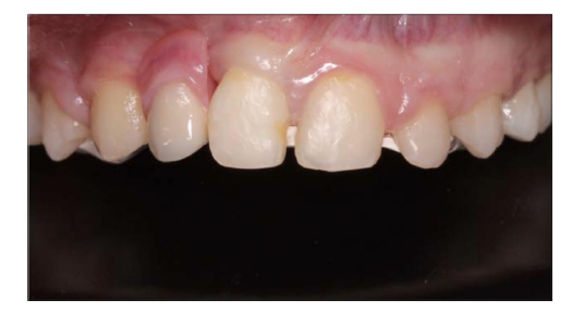
图 4

PEEK树脂粘接固定义齿颊面观"

[1] 甘抗, 郭晶, 刘红 . 聚醚醚酮口腔生物材料的研究进展[J]. 口腔颌面修复学杂志, 2014,15(3):172-175.
doi: 10.3969/j.issn.1009-3761.2014.03.012
Gan K, Guo J, Liu H . Research progress of polye-theretherketone oral biomaterials[J]. Chin J Prostho-dont, 2014,15(3):172-175.
doi: 10.3969/j.issn.1009-3761.2014.03.012
[2] Skinner HB . Composite technology for total hip ar-throplasty[J]. Clin Orthop Relat Res, 1988(235):224-236.
[3] Devine DM, Hahn J, Richards RG , et al. Coating of carbon fiber-reinforced polyetheretherketone implants with titanium to improve bone apposition[J]. J Bio-med Mater Res Part B Appl Biomater, 2013,101(4):591-598.
doi: 10.1002/jbm.b.32861
[4] Toth JM, Wang M, Estes BT , et al. Polyetherether-ketone as a biomaterial for spinal applications[J]. Biomaterials, 2006,27(3):324-334.
doi: 10.1016/j.biomaterials.2005.07.011 pmid: 16115677
[5] Nakahara I, Takao M, Bandoh S , et al. In vivo implant fixation of carbon fiber-reinforced PEEK hip pros-theses in an ovine model[J]. J Orthop Res, 2013,31(3):485-492.
doi: 10.1002/jor.22251 pmid: 23097319
[6] Lee WT, Koak JY, Lim YJ , et al. Stress shielding and fatigue limits of poly-ether-ether-ketone dental implants[J]. J Biomed Mater Res Part B Appl Biomater, 2012,100(4):1044-1052.
doi: 10.1002/jbm.b.32669 pmid: 22331553
[7] Martin RB, Ishida J . The relative effects of collagen fiber orientation, porosity, density, and mineraliza-tion on bone strength[J]. J Biomech, 1989,22(5):419-426.
doi: 10.1016/0021-9290(89)90202-9 pmid: 2777816
[8] Sano H, Ciucchi B, Matthews WG , et al. Tensile properties of mineralized and demineralized human and bovine dentin[J]. J Dent Res, 1994,73(6):1205-1211.
doi: 10.1177/00220345940730061201 pmid: 8046110
[9] Sandler J, Werner P, Shaffer MSP , et al. Carbon-nanofibre-reinforced poly(ether ether ketone) com-posites[J]. Compos Part A Appl Sci Manuf, 2002,33(8):1033-1039.
doi: 10.1016/S1359-835X(02)00084-2
[10] Kern M, Lehmann F . Influence of surface conditioning on bonding to polyetheretherketon (PEEK)[J]. Dent Mater, 2012,28(12):1280-1283.
doi: 10.1016/j.dental.2012.09.010 pmid: 23036863
[11] Costa-Palau S, Torrents-Nicolas J , Brufau-de Barberà M, et al. Use of polyetheretherketone in the fabrica-tion of a maxillary obturator prosjournal: a clinical report[J]. J Prosth Dent, 2014,112(3):680-682.
doi: 10.1016/j.prosdent.2013.10.026
[12] 文怀兴, 刘杏, 陈威 . 聚醚醚酮复合材料的改性研究及应用进展[J]. 工程塑料应用, 2017,45(1):123-127, 136.
doi: 10.3969/j.issn.1001-3539.2017.01.024
Wen HX, Liu X, Chen W . Review on modification research and application of PEEK composites[J]. Eng Plast Appl, 2017,45(1):123-127, 136.
doi: 10.3969/j.issn.1001-3539.2017.01.024
[13] Najeeb S, Bds ZK, Bds SZ , et al. Bioactivity and osseointegration of PEEK are inferior to those of titanium: a systematic review[J]. J Oral Implantol, 2016,42(6):512-516.
doi: 10.1563/aaid-joi-D-16-00072 pmid: 27560166
[14] Esposito M, Hirsch JM, Lekholm U , et al. Biological factors contributing to failures of osseointegrated oral implants. (Ⅰ). Success criteria and epidemiology[J]. Eur J Oral Sci, 1998,106(1):527-551.
doi: 10.1046/j.0909-8836..t01-2-.x pmid: 9672097
[15] Rupp F, Scheideler L, Olshanska N , et al. Enhancing surface free energy and hydrophilicity through che-mical modification of microstructured titanium im-plant surfaces[J]. J Biomed Mater Res A, 2005,76A(2):323-334.
[16] Le Guéhennec L, Soueidan A, Layrolle P , et al. Sur-face treatments of titanium dental implants for rapid osseointegration[J]. Dent Mater, 2007,23(7):844-854.
doi: 10.1016/j.dental.2006.06.025 pmid: 16904738
[17] Egusa H, Ko N, Shimazu T , et al. Suspected associa-tion of an allergic reaction with titanium dental im-plants: a clinical report[J]. J Prosthet Dent, 2008,100(5):344-347.
doi: 10.1016/S0022-3913(08)60233-4
[18] Müller K, Valentine-Thon E . Hypersensitivity to titanium: clinical and laboratory evidence[J]. Neuro Endocrinol Lett, 2006,27(Suppl 1):31-35.
doi: 10.1016/j.neuint.2006.07.003 pmid: 17261997
[19] Thomas P, Bandl WD, Maier S , et al. Hypersensi-tivity to titanium osteosynjournal with impaired frac-ture healing, eczema, and T-cell hyperresponsiveness in vitro: case report and review of the literature[J]. Contact Derm, 2006,55(4):199-202.
doi: 10.1111/j.1600-0536.2006.00931.x pmid: 16958916
[20] Tschernitschek H, Borchers L, Geurtsen W . Nonal-loyed titanium as a bioinert metal—a review[J]. Quintessence Int, 2005,36(7/8):523-530.
[21] Sicilia A, Cuesta S, Coma G , et al. Titanium allergy in dental implant patients: a clinical study on 1 500 consecutive patients[J]. Clin Oral Implants Res, 2008,19(8):823-835.
doi: 10.1111/j.1600-0501.2008.01544.x pmid: 18705814
[22] Korabi R, Shemtov-Yona K, Rittel D . On stress/strain shielding and the material stiffness paradigm for dental implants[J]. Clin Implant Dent Relat Res, 2017,19(5):935-943.
doi: 10.1111/cid.12509 pmid: 28608498
[23] Yildirim M, Fischer H, Marx R , et al. In vivo fracture resistance of implant-supported all-ceramic restora-tions[J]. J Prosthet Dent, 2003,90(4):325-331.
doi: 10.1016/S0022-3913(03)00514-6 pmid: 14564286
[24] Becker W, Becker BE, Ricci A , et al. A prospective multicenter clinical trial comparing one- and two-stage titanium screw-shaped fixtures with one-stage plasma-sprayed solid-screw fixtures[J]. Clin Implant Dent Relat Res, 2000,2(3):159-165.
doi: 10.1111/j.1708-8208.2000.tb00007.x pmid: 11359261
[25] Andreiotelli M, Wenz HJ, Kohal RJ . Are ceramic implants a viable alternative to titanium implants? A systematic literature review[J]. Clin Oral Implants Res, 2009,20(Suppl 4):32-47.
doi: 10.1111/j.1600-0501.2009.01785.x pmid: 19663947
[26] Liao K . Performance characterization and modeling of a composite hip prosjournal[J]. Exp Tech, 1994,18(5):33-38.
[27] Kelsey DJ, Springer GS, Goodman SB . Composite implant for bone replacement[J]. J Compos Mater, 1997,31(16):1593-1632.
doi: 10.1177/002199839703101603
[28] Corvelli AA, Biermann PJ, Roberts JC . Design, analysis, and fabrication of a composite segmental bone replacement implant[J]. J Adv Mater, 1997,28(3):2-7.
[29] Panayotov IV, Orti V, Cuisinier F , et al. Polyethere-therketone (PEEK) for medical applications[J]. J Mater Sci Mater Med, 2016,27(7):118.
doi: 10.1007/s10856-016-5731-4 pmid: 27259708
[30] Fontijn-Tekamp FA, Slagter AP , Van Der Bilt A, et al. Biting and chewing in overdentures, full dentures, and natural dentitions[J]. J Dent Res, 2000,79(7):1519-1524.
doi: 10.1177/00220345000790071501
[31] Sarot JR, Contar CM, Cruz AC , et al. Evaluation of the stress distribution in CFR-PEEK dental implants by the three-dimensional finite element method[J]. J Mater Sci Mater Med, 2010,21(7):2079-2085.
doi: 10.1007/s10856-010-4084-7 pmid: 20464460
[32] Schwitalla AD, Abou-Emara M, Spintig T , et al. Finite element analysis of the biomechanical effects of PEEK dental implants on the peri-implant bone[J]. J Biomech, 2015,48(1):1-7.
doi: 10.1016/j.jbiomech.2014.11.017 pmid: 25435385
[33] Wiesli MG, Özcan M . High-performance polymers and their potential application as medical and oral implant materials: a review[J]. Implant Dent, 2015,24(4):448-457.
doi: 10.1097/ID.0000000000000285 pmid: 26035377
[34] Olivares-Navarrete R, Gittens RA, Schneider JM , et al. Osteoblasts exhibit a more differentiated pheno-type and increased bone morphogenetic protein production on titanium alloy substrates than on poly-ether-ether-ketone[J]. Spine J, 2012,12(3):265-272.
doi: 10.1016/j.spinee.2012.02.002 pmid: 22424980
[35] Olivares-Navarrete R, Hyzy SL, Gittens RA , et al. Rough titanium alloys regulate osteoblast production of angiogenic factors[J]. Spine J, 2013,13(11):1563-1570.
doi: 10.1016/j.spinee.2013.03.047 pmid: 23684238
[36] Olivares-Navarrete R, Hyzy SL, Slosar PJ , et al. Im- plant materials generate different peri-implant in-flammatory factors: poly-ether-ether-ketone promotes fibrosis and microtextured titanium prmotes osteo-genic factors[J]. Spine, 2015,40(6):399-404.
doi: 10.1097/BRS.0000000000000778
[37] Cook SD, Rust-Dawicki AM . Preliminary evaluation of titanium-coated PEEK dental implants[J]. J Oral Implantol, 1995,21(3):176-181.
doi: 10.1109/SBEC.1995.514436 pmid: 8699511
[38] Najeeb S, Zafar MS, Khurshid Z , et al. Applications of polyetheretherketone (PEEK) in oral implantology and prosthodontics[J]. J Prosthodont Res, 2016,60(1):12-19.
doi: 10.1016/j.jpor.2015.10.001
[39] Najeeb S, Khurshid Z, Matinlinna JP , et al. Nano-modified PEEK dental implants: bioactive com-posites and surface modification—a review[J]. Int J Dent, 2015,2015:381759.
[40] Ravichandran R, Ng CCh, Liao SS , et al. Biomimetic surface modification of titanium surfaces for early cell capture by advanced electrospinning[J]. Biomed Mater, 2012,7(1):015001.
doi: 10.1088/1748-6041/7/1/015001 pmid: 22156014
[41] Suska F, Omar O, Emanuelsson L , et al. Enhance-ment of CRF-PEEK osseointegration by plasma-sprayed hydroxyapatite: a rabbit model[J]. J Biomater Appl, 2014,29(2):234-242.
doi: 10.1177/0885328214521669 pmid: 24496230
[42] Wu XM, Liu XC, Wei J , et al. Nano-TiO2/PEEK bioactive composite as a bone substitute material: in vitro and in vivo studies[J]. Int J Nanomedicine, 2012,7:1215-1225.
doi: 10.2147/IJN.S28101 pmid: 3298387
[43] Sagomonyants KB, Jarman-Smith ML, Devine JN , et al. The in vitro response of human osteoblasts to polyetheretherketone (PEEK) substrates compared to commercially pure titanium[J]. Biomaterials, 2008,29(11):1563-1572.
doi: 10.1016/j.biomaterials.2007.12.001 pmid: 18199478
[44] Katzer A, Marquardt H, Westendorf J , et al. Polye-theretherketone—cytotoxicity and mutagenicity in vitro[J]. Biomaterials, 2002,23(8):1749-1759.
doi: 10.1016/S0142-9612(01)00300-3 pmid: 11950045
[45] Wenz LM, Merritt K, Brown SA , et al. In vitro bio-compatibility of polyetheretherketone and polysul-fone composites[J]. J Biomed Mater Res, 1990,24(2):207-215.
doi: 10.1002/(ISSN)1097-4636
[46] Hallab NJ , McAllister K, Brady M, et al. Macrophage reactivity to different polymers demonstrates particle size- and material-specific reactivity: PEEK-OPTIMA ® particles versus UHMWPE particles in the submicron, micron, and 10 micron size ranges [J]. J Biomed Mater Res Part B Appl Biomater, 2012,100(2):480-492.
[47] Webster TJ, Patel AA, Rahaman MN , et al. Anti-infective and osteointegration properties of silicon nitride, poly(ether ether ketone), and titanium im-plants[J]. Acta Biomater, 2012,8(12):4447-4454.
doi: 10.1016/j.actbio.2012.07.038 pmid: 22863905
[48] Al-Rabab’ah M, Hamadneh W, Alsalem I , et al. Use of high performance polymers as dental implant abutments and frameworks: a case series report[J]. J Prosthodont, 2017. doi: 10.1111/jopr.12639.
doi: 10.1111/jopr.12639 pmid: 28513977
[49] Agustín-Panadero R, Serra-Pastor B , Roig-Vana-clocha A, et al. Mechanical behavior of provisional implant prosthetic abutments[J]. Med Oral Patol Oral Cir Bucal, 2015,20(1):e94-e102.
doi: 10.4317/medoral.19958 pmid: 4320428
[50] Koutouzis T, Richardson J, Lundgren T . Compara-tive soft and hard tissue responses to titanium and polymer healing abutments[J]. J Oral Implantol, 2011,37(Spec No):174-182.
doi: 10.1563/AAID-JOI-D-09-00102.1 pmid: 20553131
[51] Hahnel S, Wieser A, Lang R , et al. Biofilm forma-tion on the surface of modern implant abutment materials[J]. Clin Oral Implants Res, 2015,26(11):1297-1301.
doi: 10.1111/clr.12454 pmid: 25060652
[52] Wu TT, Fan HY, Ma RY , et al. Effect of lubricant on the reliability of dental implant abutment screw joint: an in vitro laboratory and three-dimension finite element analysis[J]. Mater Sci Eng C Mater Biol Appl, 2017,75:297-304.
doi: 10.1016/j.msec.2016.11.041
[53] Schwitalla AD, Abou-Emara M, Zimmermann T , et al. The applicability of PEEK-based abutment screws[J]. J Mech Behav Biomed Mater, 2016,63:244-251.
doi: 10.1016/j.jmbbm.2016.06.024
[54] Neumann EA, Villar CC , França FM. Fracture resistance of abutment screws made of titanium, polyetheretherketone, carbon fiber-reinforced polyetheretherketone[J]. Braz Oral Res, 2014, 28.pii:S1806-83242014000100239.
doi: 10.1590/1807-3107BOR-2014.vol28.0028 pmid: 25098826
[55] Tannous F, Steiner M, Shahin R , et al. Retentive forces and fatigue resistance of thermoplastic resin clasps[J]. Dent Mater, 2012,28(3):273-278.
doi: 10.1016/j.dental.2011.10.016 pmid: 22130464
[56] Zoidis P, Papathanasiou I, Polyzois G . The use of a modified poly-ether-ether-ketone (PEEK) as an alternative framework material for removable dental prostheses. A clinical report[J]. J Prosthodont, 2016,25(7):580-584.
doi: 10.1111/jopr.12325 pmid: 26216668
[57] Stawarczyk B, Eichberger M, Uhrenbacher J , et al. Three-unit reinforced polyetheretherketone composite FDPs: influence of fabrication method on load-bearing capacity and failure types[J]. Dent Mater J, 2015,34(1):7-12.
doi: 10.4012/dmj.2013-345 pmid: 25311236
[58] Stawarczyk B, Ender A, Trottmann A , et al. Load-bearing capacity of CAD/CAM milled polymeric three-unit fixed dental prostheses: effect of aging regimens[J]. Clin Oral Investig, 2012,16(6):1669-1677.
doi: 10.1007/s00784-011-0670-4 pmid: 22209963
[59] Beuer F, Steff B, Naumann M , et al. Load-bearing capacity of all-ceramic three-unit fixed partial den-tures with different computer-aided design (CAD)/computer-aided manufacturing (CAM) fabricated framework materials[J]. Eur J Oral Sci, 2008,116(4):381-386.
doi: 10.1111/j.1600-0722.2008.00551.x pmid: 18705807
[60] Kolbeck C, Behr M, Rosentritt M , et al. Fracture force of tooth-tooth- and implant-tooth-supported all-ceramic fixed partial dentures using titanium vs. customised zirconia implant abutments[J]. Clin Oral Implants Res, 2008,19(10):1049-1053.
doi: 10.1111/j.1600-0501.2008.01551.x pmid: 18707604
[61] Stawarczyk B, Beuer F, Wimmer T , et al. Polye-theretherketone—a suitable material for fixed dental prostheses[J]. J Biomed Mater Res Part B Appl Bio-mater, 2013,101(7):1209-1216.
doi: 10.1002/jbm.b.32932
[62] Pfeiffer P, Grube L . Effect of pontic height on the fracture strength of reinforced interim fixed partial dentures[J]. Dent Mater, 2006,22(12):1093-1097.
doi: 10.1016/j.dental.2005.09.003 pmid: 16376983
[63] Kurtz SM, Devine JN . PEEK biomaterials in trauma, orthopedic, and spinal implants[J]. Biomaterials, 2007,28(32):4845-4869.
doi: 10.1016/j.biomaterials.2007.07.013
[64] Schmidlin PR, Stawarczyk B, Wieland M , et al. Effect of different surface pre-treatments and luting mate-rials on shear bond strength to PEEK[J]. Dent Mater, 2010,26(6):553-559.
doi: 10.1016/j.dental.2010.02.003 pmid: 20206986
[65] Hallmann L, Mehl A, Sereno N , et al. The improve-ment of adhesive properties of PEEK through dif-ferent pre-treatments[J]. Appl Surf Sci, 2012,258(18):7213-7218.
doi: 10.1016/j.apsusc.2012.04.040
[66] Stawarczyk B, Keul C, Beuer F , et al. Tensile bond strength of veneering resins to PEEK: impact of different adhesives[J]. Dent Mater J, 2013,32(3):441-448.
doi: 10.4012/dmj.2013-011 pmid: 23719006
[67] Stawarczyk B, Bähr N, Beuer F , et al. Influence of plasma pretreatment on shear bond strength of self-adhesive resin cements to polyetheretherketone[J]. Clin Oral Investig, 2014,18(1):163-170.
doi: 10.1007/s00784-013-0966-7 pmid: 23504226
[68] Keul C, Liebermann A, Schmidlin PR , et al. Influence of PEEK surface modification on surface properties and bond strength to veneering resin composites[J]. J Adhes Dent, 2014,16(4):383-392.
doi: 10.3290/j.jad.a32570 pmid: 25133270
[69] Attia A, Kern M . Effect of cleaning methods after reduced-pressure air abrasion on bonding to zirconia ceramic[J]. J Adhes Dent, 2011,13(6):561-567.
doi: 10.3290/j.jad.a19831 pmid: 21246066
[70] Klosa K, Wolfart S, Lehmann F , et al. The effect of storage conditions, contamination modes and cleaning procedures on the resin bond strength to lithium disi-licate ceramic[J]. J Adhes Dent, 2009,11(2):127-135.
[71] Azimian F, Klosa K, Kern M . Evaluation of a new universal primer for ceramics and alloys[J]. J Adhes Dent, 2012,14(3):275-282.
[72] Uhrenbacher J, Schmidlin PR, Keul C , et al. The effect of surface modification on the retention str-ength of polyetheretherketone crowns adhesively bonded to dentin abutments[J]. J Prosthet Dent, 2014,112(6):1489-1497.
doi: 10.1016/j.prosdent.2014.05.010 pmid: 24993380
[73] Rosentritt M, Preis V, Behr M , et al. Shear bond strength between veneering composite and PEEK after different surface modifications[J]. Clin Oral Investig, 2015,19(3):739-744.
doi: 10.1007/s00784-014-1294-2 pmid: 25096670
[74] Stawarczyk B, Thrun H, Eichberger M , et al. Effect of different surface pretreatments and adhesives on the load-bearing capacity of veneered 3-unit PEEK FDPs[J]. J Prosthet Dent, 2015,114(5):666-673.
doi: 10.1016/j.prosdent.2015.06.006 pmid: 26344191
[75] Andrikopoulou E, Zoidis P, Artopoulou II , et al. Mo-dified PEEK resin bonded fixed dental prosjournal for a young cleft lip and palate patient[J]. J Esthet Restor Dent, 2016,28(4):201-207.
doi: 10.1111/jerd.12221
[76] Hansson O . Clinical results with resin-bonded pros-theses and an adhesive cement[J]. Quintessence Int, 1994,25(2):125-132.
doi: 10.1159/000345371 pmid: 8183978
[77] Priest GF . Failure rates of restorations for single-tooth replacement[J]. Int J Prosthodont, 1996,9(1):38-45.
doi: 10.1111/j.1365-2591.1996.tb01357.x pmid: 8630176
[1] 孙旭,邓振南,文才,赵颖. Er: YAG激光照射种植体表面微形貌变化的扫描电子显微镜观察[J]. 国际口腔医学杂志, 2023, 50(6): 669-673.
[2] 黄元鸿,彭显,周学东. 骨碎补在治疗口腔骨相关疾病的研究进展[J]. 国际口腔医学杂志, 2023, 50(6): 679-685.
[3] 龚佳明,赵瑞敏,潘宏伟,郎鑫,余占海,李健学. 动态导航与静态导航对种植体准确性的Meta分析[J]. 国际口腔医学杂志, 2023, 50(5): 538-551.
[4] 陆倩,夏海斌,王敏. 种植体磨光整形术治疗种植体周围炎的研究进展[J]. 国际口腔医学杂志, 2023, 50(2): 152-158.
[5] 满毅, 黄定明. 美学区种植骨增量与邻牙慢性根尖周病的联合治疗策略(上):应用基础及适应证[J]. 国际口腔医学杂志, 2022, 49(5): 497-505.
[6] 曹正国. 修复治疗相关的牙周问题考量[J]. 国际口腔医学杂志, 2022, 49(1): 1-11.
[7] 朱轩智,赵蕾. 甲状腺功能减退症与牙周炎相关性的研究进展[J]. 国际口腔医学杂志, 2021, 48(4): 380-384.
[8] 路泊遥,杨大维,刘蔚晴,梁星. 超短种植体临床应用效果的影响因素[J]. 国际口腔医学杂志, 2021, 48(3): 329-328.
[9] 朱俊瑾,王剑. 钛种植体表面银纳米颗粒负载方法的进展[J]. 国际口腔医学杂志, 2021, 48(3): 334-340.
[10] 郑桂婷,徐燕,吴明月. 种植体周围疾病治疗的专家共识及治疗方法的进展[J]. 国际口腔医学杂志, 2020, 47(6): 725-731.
[11] 童子安,姒蜜思. 种植体表面菌斑去污方式的体外研究进展[J]. 国际口腔医学杂志, 2020, 47(5): 589-594.
[12] 张婧婷,潘旭东,张文云. 遮色层厚度对聚醚醚酮-Crea.lign修复体颜色的影响[J]. 国际口腔医学杂志, 2020, 47(4): 418-423.
[13] 王欢,刘洋,戚孟春,李静怡,刘梦楠,孙红. 微弧氧化技术制备钛基种植体表面涂层的研究进展[J]. 国际口腔医学杂志, 2020, 47(4): 439-444.
[14] 张敏,万浩元. 种植体周围炎药物治疗与激光治疗的研究进展[J]. 国际口腔医学杂志, 2020, 47(4): 463-470.
[15] 吴秋月,李治邦. 药物辅助治疗种植体周围炎的研究进展[J]. 国际口腔医学杂志, 2020, 47(4): 471-477.
Viewed
Full text


Abstract

Cited

  Shared   
  Discussed   
[1] 王昆润. 修补颌骨缺损的新型生物学相容材料[J]. 国际口腔医学杂志, 1999, 26(06): .
[2] 陆加梅. 不可复性关节盘移位患者术前张口度与关节镜术后疗效的相关性[J]. 国际口腔医学杂志, 1999, 26(06): .
[3] 王昆润. 咀嚼口香糖对牙周组织微循环的影响[J]. 国际口腔医学杂志, 1999, 26(06): .
[4] 宋红. 青少年牙周炎外周血分叶核粒细胞的趋化功能[J]. 国际口腔医学杂志, 1999, 26(06): .
[5] 高卫民,李幸红. 发达国家牙医学院口腔种植学教学现状[J]. 国际口腔医学杂志, 1999, 26(06): .
[6] 侯锐. 正畸患者釉白斑损害的纵向激光荧光研究[J]. 国际口腔医学杂志, 1999, 26(05): .
[7] 轩东英. 不同赋形剂对氢氧化钙抗菌效果的影响[J]. 国际口腔医学杂志, 1999, 26(05): .
[8] 房兵. 唇腭裂新生儿前颌骨矫正方法及对上颌骨生长发育的影响[J]. 国际口腔医学杂志, 1999, 26(05): .
[9] 杨美祥. 前牙厚度在预测上下颌牙量协调性中的作用[J]. 国际口腔医学杂志, 1999, 26(04): .
[10] 赵艳丽. 手术刀、电凝、CO_2和KTP激光对大鼠舌部创口的作用[J]. 国际口腔医学杂志, 1999, 26(04): .