Int J Stomatol ›› 2026, Vol. 53 ›› Issue (2): 230-238.doi: 10.7518/gjkq.2026009

• Reviews • Previous Articles    

Research status and clinical management of enamel pearls

Manyao Hong(),Mijia Guo,Ting Zhou,Zilong Deng()   

  1. Dept. of Stomatology, Nanfang Hospital, Southern Medical University, Guangzhou 510515, China
  • Received:2025-01-17 Revised:2025-03-09 Online:2026-03-01 Published:2026-02-13
  • Contact: Zilong Deng E-mail:906602467@qq.com;zldeng@yeah.net
  • Supported by:
    Grants from Clinical Research Program of Nanfang Hospital, Southern Medical University(2021CR011);National Natural Science Foundation of China(82100997)

Abstract:

Enamel pearls (EPs) are the most common ectopic enamel. The etiology of EPs remains obscure. Clinically, EPs are mainly detected through radiographic examinations or when they elicit associated clinical symptoms. A hemidesmosomal junction exists between EP and periodontal tissue, which weakens the ability of periodontium to defend against infection. Furthermore, the presence of EPs facilitates plaque retention by shielding plaque from salivary enzymes and routine oral hygiene measures, which leads to endodontic and periodontal diseases. Therefore, early diagnosis, assessment, and management of EPs are of clinical importance. This article reviews the literature on EPs; it encompasses their nomenclature, prevalence, diagnosis and differential diagnosis, classification, morphological and distribution characteristics, physicochemical properties, histological features, histogenesis and pathogenesis, clinical implications, and management strategies, to provide a reference for their clinical diagnosis and management and further investigation.

Key words: enamel pearl, classification, prevalence, diagnosis, treatment

CLC Number: 

  • R780.2

TrendMD: 

Tab 1

Enamel pearl prevalence based on extracted teeth"

研究者(年份)研究人群样本牙发生率/%磨牙发生率/%
Risnes[5](1974)挪威人8 854颗磨牙2.28
Negra等[9](1974)巴西人30 726颗牙0.49
Loh[10](1980)亚洲人5 674颗牙1.132.60
Sutalo等[7](1986)克罗地亚人3 370颗磨牙0.541.13
沙继春等[11](1986)中国人10 000颗牙3.0
解危[12](1991)中国人12 379颗牙1.012.49
Chrcanovic等[6](2010)巴西人45 785颗牙0.821.71
Kaminagakura等[13](2011)巴西人2 201颗磨牙2.86
Versiani等[14](2013)巴西人2 532颗牙0.74

Tab 2

Enamel pearl prevalence based on radiographic examinations"

研究者(年份)研究方法研究人群样本人发生率/%牙发生率/%磨牙发生率/%
Darwazeh等[3](2000)根尖X线片约旦人

2 986颗牙齿

1 032张根尖X线片

819份牙科记录

4.51.62.32
Akgül等[4](2012)CBCT土耳其人

15 185颗牙

768人

4.690.240.83
?olak等[15](2014)全景片土耳其人

6 912张全景片

97 362颗牙

5.10.85
Al-Zoubi等[16](2018)全景片沙特阿拉伯人642张全景片4.820.962.49
Zengin等[17](2022)CBCT土耳其人1 003份CBCT4.290.71

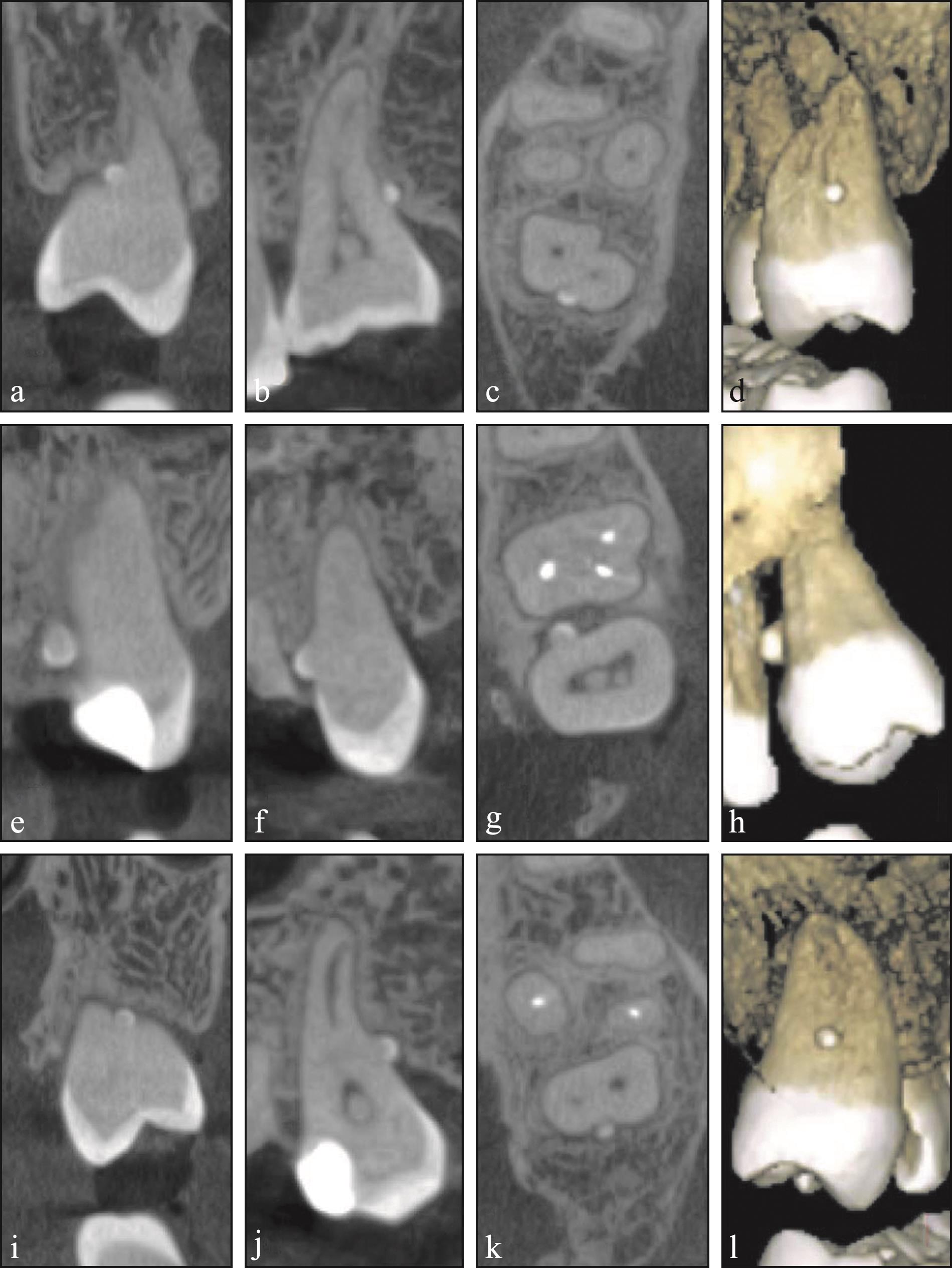
Fig 1

CBCT images of multiple enamel pearls in bilateral maxillary second molars of the same patient"

Fig 2

Classification diagrams of enamel pearls"

Tab 3

Research results on the size of enamel pearls"

研究者(年份)研究方法研究人群釉珠数目/个平均直径/mm标准差/mm尺寸范围/mm
Risnes[5](1974)离体牙、放大镜挪威人2190.960.430.3~4
Loh[10](1980)离体牙亚洲人640.2~2.6(多为1~1.9)
Sutalo等[7](1986)离体牙欧洲人381.600.5~2.7
沙继春等[11](1986)离体牙、放大镜中国人1831.060.3~3.0
解危[12](1991)离体牙、放大镜中国人1391.560.5~3.2
Versiani等[14](2013)离体牙、micro-CT巴西人231.980.85多为1.15~4.48
Zengin等[17](2022)CBCT土耳其人720.5~2.95(多为1~2)

Fig 3

Diagrams of structural relationship between cementum and enamel pearl"

Fig 4

Management strategies of enamel pearl"

[1] Gaspersic D. Histogenetic aspects of the composition and structure of human ectopic enamel, studied by scanning electron microscopy[J]. Arch Oral Biol, 1992, 37(8): 603-611.
[2] Moskow BS, Canut PM. Studies on root enamel (2). Enamel pearls. A review of their morphology, locali-zation, nomenclature, occurrence, classification, histogenesis and incidence[J]. J Clin Periodontol, 1990, 17(5): 275-281.
[3] Darwazeh A, Hamasha AA. Radiographic evidence of enamel pearls in Jordanian dental patients[J]. Oral Surg Oral Med Oral Pathol Oral Radiol Endod, 2000, 89(2): 255-258.
[4] Akgül N, Caglayan F, Durna N, et al. Evaluation of enamel pearls by cone-beam computed tomography (CBCT)[J]. Med Oral Patol Oral Cir Bucal, 2012, 17(2): e218-e222.
[5] Risnes S. The prevalence, location, and size of enamel pearls on human molars[J]. Scand J Dent Res, 1974, 82(6): 403-412.
[6] Chrcanovic BR, Abreu MHNG, Custódio ALN. Prevalence of enamel pearls in teeth from a human teeth bank[J]. J Oral Sci, 2010, 52(2): 257-260.
[7] Sutalo J, Ciglar I, Njemirovskij V. Incidence of enamel pearls in our population[J]. Acta Stomatol Croat, 1986, 20(2): 123-129.
[8] Grine FE, Holt S, Brink JS, et al. Enamel pearls: their occurrence in recent human populations and earliest manifestation in the modern human lineage[J]. Arch Oral Biol, 2019, 101: 147-155.
[9] Negra ES, Oliveira OL. Morphology and locali-zation of enamel pearls in human teeth (author’s transl)[J]. Arq Cent Estud Fac Odontol UFMG, 1974, 11(2): 195-215.
[10] Loh HS. A local study on enamel pearls[J]. Singapore Dent J, 1980, 5(1): 55-59.
[11] 沙继春, 陈金华, 包美星. 10 000枚离体牙上釉珠发生情况[J]. 口腔医学纵横, 1987, 3(1): 18-20.
Sha JC, Chen JH, Bao MX. Prevalence of enamel pearls on 10 000 extracted teeth[J]. J Comprehens Stomatol, 1987, 3(1): 18-20.
[12] 解危. 离体牙上釉珠的观测与临床意义[J]. 昆明医学院学报, 1991, 3(12): 49-51.
Xie W. Observation on enamel pearls in extracted teeth and their clnical significance[J]. Acad J Kunming Med Colle, 1991, 3(12): 49-51.
[13] Kaminagakura E, Salmon C, Fonseca DC, et al. Prevalence and microscopicfeatures of enamel pearls from permanent human molars[J]. Braz J Oral Sci, 2011, 10(4): 268-271.
[14] Versiani MA, Cristescu RC, Saquy PC, et al. Enamel pearls in permanent dentition: case report and micro-CT evaluation[J]. Dentomaxillofac Radiol, 2013, 42(6): 20120332.
[15] Çolak H, Hamidi MM, Uzgur R, et al. Radiographic evaluation of the prevalence of enamel pearls in a sample adult dental population[J]. Eur Rev Med Pharmacol Sci, 2014, 18(3): 440-444.
[16] Al-Zoubi IA, Patil SR, Alam MK, et al. A radiographic study of prevalence and location of enamel pearls in a Saudi Arabian adolescent population[J]. Pesqui Bras Odontopediatria Clín Integr, 2018, 18(1): 1-6.
[17] Zengin AZ, Sumer AP, Ozturk G, et al. Imaging characteristics of enamel pearls on CBCT and their co-relation with supernumerary tooth[J]. Oral Ra-diol, 2022, 38(3): 370-377.
[18] Cavanha AO. Enamel pearls[J]. Oral Surg Oral Med Oral Pathol, 1965, 19: 373-382.
[19] Kupietzky A, Rozenfarb N. Enamel pearls in the primary dentition: report of two cases[J]. ASDC J Dent Child, 1993, 60(1): 63-66.
[20] Saini T, Ogunleye A, Levering N, et al. Multiple enamel pearls in two siblings detected by volume-tric computed tomography[J]. Dentomaxillofac Radiol, 2008, 37(4): 240-244.
[21] 张祖燕. 口腔颌面医学影像诊断学[M]. 7版. 北京: 人民卫生出版社, 2020: 46-47, 100.
Zhang ZY. Stomatological image diagnostics[M]. 7th ed. Beijing: People’s Medical Publishing Hou-se, 2020: 46-47, 100.
[22] Kaugars GE. Internal enamel pearls: report of case[J]. J Am Dent Assoc, 1983, 107(6): 941-943.
[23] Pardiñas López S, Warren RN, Bromage TG, et al. Treatment of an unusual non-tooth related enamel pearl (EP) and 3 teeth-related EPs with localized periodontal disease without teeth extractions: a case report[J]. Compend Contin Educ Dent, 2015, 36(8): 592-599.
[24] 毛小泉, 蒙亚娇, 李海芳. 根样釉珠1例[J]. 国际口腔医学杂志, 2016, 43(4): 406-408.
Mao XQ, Meng YJ, Li HF. A case report of root-like enamel pearl[J]. Int J Stomatol, 2016, 43(4): 406-408.
[25] Rathva V. Ectopic enamel pearl[J]. Clin Pract, 2012, 2(2): e46.
[26] Risnes S, Segura JJ, Casado A, et al. Enamel pearls and cervical enamel projections on 2 maxillary molars with localized periodontal disease: case report and histologic study[J]. Oral Surg Oral Med Oral Pathol Oral Radiol Endod, 2000, 89(4): 493-497.
[27] Takiguchi R, Funaki T. Scanning electron microscopy of enamel drop[J]. Bull Tokyo Dent Coll, 1977, 18(2): 57-70.
[28] Anderson P, Elliott JC, Bose U, et al. A comparison of the mineral content of enamel and dentine in human premolars and enamel pearls measured by X-ray microtomography[J]. Arch Oral Biol, 1996, 41(3): 281-290.
[29] Gaspersic D. Enamel microhardness and histological features of composite enamel pearls of different size[J]. J Oral Pathol Med, 1995, 24(4): 153-158.
[30] Risnes S. Ectopic tooth enamel. An SEM study of the structure of enamel in enamel pearls[J]. Adv Dent Res, 1989, 3(2): 258-264.
[31] Shiota K, Tamamura S, Okamoto K, et al. Enamel pearls; the incidence and pathology[J]. Jpn J Oral Biol, 1970, 12(3): 185-197.
[32] Schroeder HE, Listgarten MA. Fine structure of the developing epithelial attachment of human teeth[J]. Monogr Dev Biol, 1971, 2: 1-134.
[33] Romeo U, Palaia G, Botti R, et al. Enamel pearls as a predisposing factor to localized periodontitis[J]. Quintessence Int, 2011, 42(1): 69-71.
[34] Goldstein AR. Enamel pearls as contributing factor in periodontal breakdown[J]. J Am Dent Assoc, 1979, 99(2): 210-211.
[35] 周学东. 牙体牙髓病学[M]. 5版. 北京: 人民卫生出版社, 2020: 60-61.
Zhou XD. Endodontics[M]. 5th ed. Beijing: People’s Medical Publishing House, 2020: 60-61.
[36] Shojaeian S, Ghoddusi J, Hajian S. A case report of maxillary second molar with two palatal root canals and a furcal enamel pearl[J]. Iran Endod J, 2013, 8(1): 37-39.
[37] 吴丽. 右上第三磨牙多发釉珠1例[J]. 实用口腔医学杂志, 2013, 29(4): 510.
Wu L. The multiple enamel pearls in right maxilla third molar[J]. J Pract Stomatol, 2013, 29(4): 510.
[38] 张震康, 俞光岩. 实用口腔科学[M]. 北京: 人民卫生出版社, 2009: 37-38.
Zhang ZK, Yu GY. Practice of stomatology[M]. Beijing: People’s Medical Publishing House, 2009: 37-38.
[39] Zenóbio EG, Vieira TR, Bustamante RP, et al. Enamel pearls implications on periodontal disease[J]. Case Rep Dent, 2015, 2015: 236462.
[1] Chao Zhang,Nan Zhao,Cong Yu. Analgesia-first: new advancements in comfortable dental care [J]. Int J Stomatol, 2026, 53(1): 1-9.
[2] Linhan Zhang,Yaling Tang. Advancements in the application of Raman spectroscopy for the diagnosis and treatment of oral squamous cell carcinoma and oral potentially malignant disorders [J]. Int J Stomatol, 2026, 53(1): 107-115.
[3] Shiya Wang,Guohua Yuan,Jing Zou. The formation mechanism, clinical diagnosis, and treatment strategies of ectopic enamel [J]. Int J Stomatol, 2025, 52(6): 713-721.
[4] Ziwei Tang,Yu Jin,Wenli Lai. Factors influencing the efficiency of maxillary expansion in clear aligner orthodontic treatment [J]. Int J Stomatol, 2025, 52(6): 748-754.
[5] Jian Zhang, Xue Bai, Xiaoqian He, Zhenlin Ge. Application and research progress of multimodal data fusion in orthodontics [J]. Int J Stomatol, 2025, 52(6): 764-770.
[6] Xiaojie Zhou,Benxiang Hou. Research progress on the methods for caries diagnosis based on deep learning [J]. Int J Stomatol, 2025, 52(5): 579-585.
[7] Xiaoju Jiang,Jing Chen,Qin Su. Dental trauma: biological responses of pulp tissue, diagnosis, and treatment strategies [J]. Int J Stomatol, 2025, 52(5): 586-593.
[8] Xing Wu,Yuping Liu,Yifan Zhang,Yucong Xia,Zhaohe Li,Xiaowei Yi,Hong Xia,Wenwen Ding. Research progress on the regulatory mechanism and prevention and treatment of proanthocyanidins in oral diseases [J]. Int J Stomatol, 2025, 52(5): 644-654.
[9] Jiayin Ren,Meng You. Radiological evidence-based clinical consideration for implant placement in the area with cemento-osseous dysplasia lesion [J]. Int J Stomatol, 2025, 52(4): 421-427.
[10] Meichang Huang,Hongjie Jiang,Yaling Tang,Lihong Yao. Cone beam computed tomography and immunohistochemical staining for the diagnosis and differential diagnosis of periapical cysts [J]. Int J Stomatol, 2025, 52(4): 490-497.
[11] Huan Yu,Jian Kang. Progress in the application of periodontal endoscopy in oral clinical diagnosis and treatment [J]. Int J Stomatol, 2025, 52(4): 544-551.
[12] Jieyu Zhou,Lei Zhao,Yafei Wu,Yong Li,Huan Zhao. Vascularized interpositional periopel connective tissue flap combined with crown restoration for reconstruction of esthetic gingival papillae: a case report [J]. Int J Stomatol, 2025, 52(3): 323-332.
[13] Mengyu Chen,Xiangwei Li. Research progress on external root resorption after replantation of permanent teeth with traumatic avulsion [J]. Int J Stomatol, 2025, 52(3): 390-396.
[14] Tianyu Fu,Xue Zhang,Siqi Wang,Chengyi Guo,Xiaoyu Dong,Yapeng Cheng,Rui Li. Application of carbon dots to the diagnosis and treatment of oral and maxillofacial malignant tumors [J]. Int J Stomatol, 2025, 52(1): 25-33.
[15] Junzhuo Gou,Yafen Zhu,Dingzhuo Jiang,Zhifang Wu. Research progress on the effect of orthodontic treatment on root development during mixed dentition [J]. Int J Stomatol, 2024, 51(6): 662-668.
Viewed
Full text


Abstract

Cited

  Shared   
  Discussed   
No Suggested Reading articles found!