国际口腔医学杂志 ›› 2025, Vol. 52 ›› Issue (6): 798-805.doi: 10.7518/gjkq.2025089

• 病例报告 • 上一篇    下一篇

上前牙间隙复合树脂直接修复1例

宁晖丽(),蔡美娟,童方丽()   

  1. 南方医科大学口腔医院盘福院区牙体牙髓科 广州 510280
  • 收稿日期:2024-09-15 修回日期:2024-10-27 出版日期:2025-11-01 发布日期:2025-10-23
  • 通讯作者: 童方丽
  • 作者简介:宁晖丽,主治医师,博士,Email:10357939@qq.com

A case report of anterior diastema closure using direct composite restorations

Huili Ning(),Meijuan Cai,Fangli Tong()   

  1. Dept. of Endodontics, Panfu Branch of Stomatological Hospital, School of Stomatology, Southern Medical University, Guangzhou 510280, China
  • Received:2024-09-15 Revised:2024-10-27 Online:2025-11-01 Published:2025-10-23
  • Contact: Fangli Tong

摘要:

前牙间隙是一种常见的牙列异常现象。临床上,可采用复合树脂修复、全冠或贴面修复、正畸治疗关闭间隙以及多学科联合治疗等方式关闭前牙间隙。本文报道1例采用复合树脂注射技术结合预成型的解剖聚酯薄膜成型片直接修复上前牙间隙的直接修复病例,达到了较好的临床修复效果。

关键词: 前牙间隙, 复合树脂直接修复, 复合树脂注射技术, 解剖型聚酯薄膜成型片

Abstract:

Diastemas between the anterior teeth are often considered a major aesthetic problem. In most cases, the treatment of these conditions involves direct composite resin restoration, veneers, crowns, orthodontic treatment, and a multidisciplinary approach. This article is a case report of a patient with diastema in the maxillary anterior teeth, corrected with direct composite resin with injection molding technique and a matrix with preformed anatomical contour, resulting in patient satisfaction.

Key words: anterior diastema, direct composite restoration, injection molding technique, preformed polyester film matrix with anatomical form

中图分类号: 

  • R781.05

图 1

术前微笑及口内像A:微笑像;B:右侧位咬合像;C:正面咬合像;D:左侧位咬合像;E:上牙弓咬合面像;F:下牙弓咬合面像。"

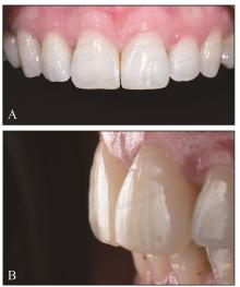
图 2

术前上前牙正面观"

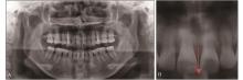
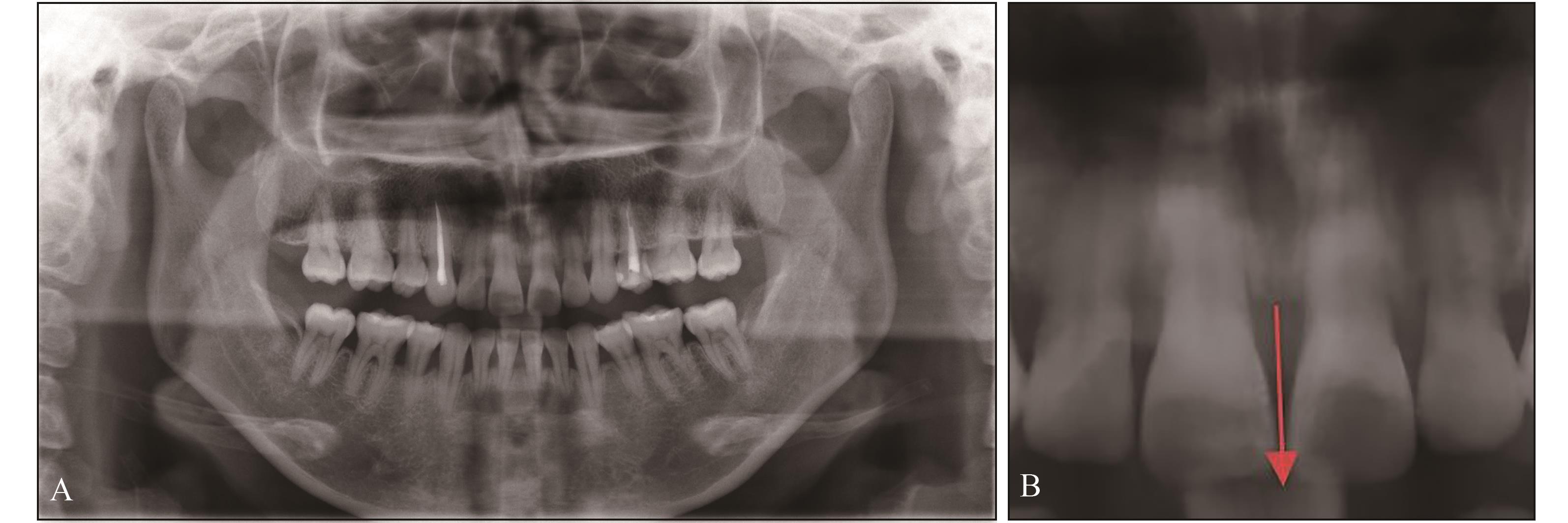
图 3

术前X线片检查A:全景片;B:箭头示11、21牙槽嵴顶至21牙切端垂直距离约12.36 mm。"

图 4

治疗过程A:比色;B:测量间隙大小;C:去除牙菌斑;D:酸蚀;E:涂布粘接剂;F:放置成型片:接触点与21牙切端垂直距离约7.5 mm,成型片切端用流体树脂做“W形”的固位体防止成型片移动;G、H、I:注射复合树脂并光固化;J、K、L:修复体修型抛光。"

图 5

术中去除成型片即刻的效果A:正面像;B:腭面像;C:牙科显微镜下唇、腭面像。"

图 6

术后即刻效果观察A:正面像;B:腭面像;C:X线片检查。"

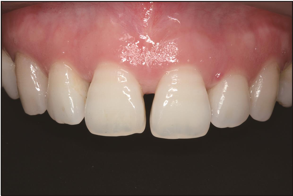
图 7

术后1周A:正面像;B:侧面像。"

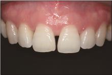
图 8

术后1年A:正面像;B:腭面像。"

图 9

中切牙间隙和龈乳头变化A:术前;B:术后即刻;C:术后1周;D:术后1年。"

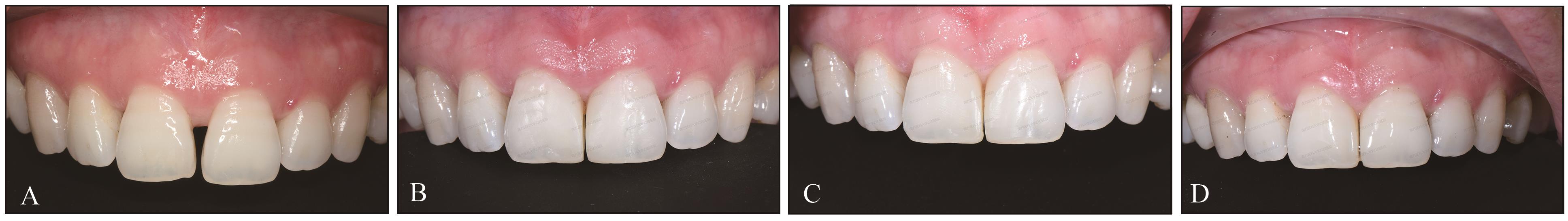
图 10

术前术后的微笑像A:术前;B:术后1周;C:术后1年。"

表 1

树脂直接修复、贴面/全冠修复和二次正畸治疗前牙间隙的优缺点"

治疗方法优点缺点
树脂直接修复

1)微创;

2)易调改;

3)就诊次数少;

4)费用低

1)牙冠宽度增加(中切牙宽长比增大);

2)固位相对差;

3)树脂老化;

4)边缘着色、继发龋等风险

贴面或全冠间接修复瓷美学性能及耐用性高

1)牙冠宽度增加(中切牙宽长比增大);

2)备牙风险;

3)费用高;

4)医师和技术的技术依赖性

二次正畸治疗

1)无修复体;

2)综合解决多个美学问题

1)治疗周期长;

2)费用高;

3)牙根吸收、牙槽骨吸收等风险

表 2

复合树脂注射技术结合预成型的解剖聚酯薄膜成型片修复技术与传统复合树脂直接修复技术修复上前牙间隙的比较"

比较项目复合树脂注射技术结合预成型的解剖聚酯薄膜成型片修复术传统复合树脂直接修复术
操作过程比色、测量间隙大小、去除牙菌斑、酸蚀、粘接、放置成型片、注射树脂并固化、修型抛光等取模、制作蜡型、制作硅胶导板、比色、去除牙菌斑、酸蚀、粘接、放置硅胶导板修复腭侧、放置成型片、树脂分层放置修复邻面及唇面、修型抛光等
成型片选择预成型的解剖聚酯薄膜成型片传统聚乙烯成型片/金属成型片
树脂选择大块树脂流体或膏体(单色)美学树脂(双色或多色)
树脂放置方法一次性注射成型(可达4 mm)树脂分层塑型(不超过2 mm)
固化方式粘接剂、流体树脂和膏体树脂混合固化黏结剂单独固化、树脂分层固化
间隙分配和确定接触点位置利用成型片的放置分配间隙和确定接触点利用硅胶导板分配间隙和确定接触点位置
修复后间隙存在微小间隙相对更小
修复体邻面颈部轮廓微弧形近似直线形
[1] Chaves PRB, Karam AM, Machado AW. Does the presence of maxillary midline diastema influence the perception of dentofacial esthetics in video ana-lysis[J]. Angle Orthod, 2021, 91(1): 54-60.
[2] Kwon SR, Oyoyo U, Li Y. Influence of application techniques on contact formation and voids in ante-rior resin composite restorations[J]. Oper Dent, 2014, 39(2): 213-220.
[3] Hussien AOT, Ibrahim SH, Essa MES, et al. Resto-ring black triangle with bioclear matrix versus conventional celluloid matrix method: a randomized clinical trial[J]. BMC Oral Health, 2023, 23(1): 402.
[4] Kim J, Clark DJ. Full-mouth black triangle treatment protocol[EB/OL].(2017-08-01)[2024-08-20]. .
[5] Clark D. Correction of the “black triangle”: resto-ratively driven papilla regeneration[J]. Todays FDA, 2010, 22(2): 52-57.
[6] 王晓东, 赵克. 局部瓷贴面治疗上颌中线间隙的临床要点[J]. 中华口腔医学杂志, 2023, 58(5): 404-408.
Wang XD, Zhao K. Clinical application of sectional feldspathic porcelain veneers in maxillary midline dia-stema closure[J]. Chin J Stomatol, 2023, 58(5): 404-408.
[7] Valente MSO, Neto CF, Obeid AT, et al. Direct vs indirect restorations for diastema closure: determi-ning the suitable approach[J]. Gen Dent, 2023, 71(5): 53-57.
[8] Korkut B, Türkmen C. Longevity of direct diastema closure and recontouring restorations with resin composites in maxillary anterior teeth: a 4-year cli-nical evaluation[J]. J Esthet Restor Dent, 2021, 33(4): 590-604.
[9] 尹仕海. 前牙间隙分类及修复方法[J]. 中国实用口腔科杂志, 2009, 2(12): 709-712.
Yin SH. Classification and treatment of anterior diastema[J]. Chin J Pract Stomatol, 2009, 2(12): 709-712.
[10] Frese C, Schiller P, Staehle HJ, et al. Recontouring teeth and closing diastemas with direct composite buildups: a 5-year follow-up[J]. J Dent, 2013, 41(11): 979-985.
[11] Shaalan OO, Abou-Auf E, El Zoghby AF. Clinical evaluation of flowable resin composite versus conventional resin composite in carious and noncarious lesions: systematic review and meta-analysis[J]. J Conserv Dent, 2017, 20(6): 380-385.
[12] Szesz A, Parreiras S, Martini E, et al. Effect of flowa-ble composites on the clinical performance of non-carious cervical lesions: a systematic review and meta-analysis[J]. J Dent, 2017, 65: 11-21.
[13] 张隽婧, 张煜强, 范琳, 等. 应用数字化流体树脂注射导板快速关闭正畸后前牙间隙1例[J]. 华西口腔医学杂志, 2023, 41(1): 114-122.
Zhang JJ, Zhang YQ, Fan L, et al. Digital technology for fluid resin injection to close anterior diastema after orthodontic treatment[J]. West China J Stomatol, 2023, 41(1): 114-122.
[14] Chapman JL, Burgess JO, Holst S, et al. Precuring of self-etching bonding agents and its effect on bond strength of resin composite to dentin and enamel[J]. Quintessence Int, 2007, 38(8): 637-641.
[15] Rizzante FAP, Duque JA, Duarte MAH, et al. Polymerization shrinkage, microhardness and depth of cure of bulk fill resin composites[J]. Dent Mater J, 2019, 38(3): 403-410.
[16] Gerula-Szymańska A, Kaczor K, Lewusz-Butkiewicz K, et al. Marginal integrity of flowable and packable bulk fill materials used for class Ⅱ restorations-a systematic review and meta-analysis of in vitro studies[J]. Dent Mater J, 2020, 39(3): 335-344.
[17] Barros de Campos PR, Maia RR, Rodrigues de Menezes L, et al. Rubber dam isolation: key to success in diastema closure technique with direct composite resin[J]. Int J Esthet Dent, 2015, 10(4): 564-574.
[18] 胡媛媛, 宗娟娟. 龈乳头重建的相关研究进展[J]. 口腔疾病防治, 2018, 26(12): 804-809.
Hu YY, Zong JJ. Research progress on the gingival papilla reconstruction[J]. J Dent Prevent Treat, 2018, 26(12): 804-809.
[19] Al-Lahham A, Souza PHC, Miyoshi CS, et al. An eye-tracking and visual analogue scale attractiveness evaluation of black space between the maxillary central incisors[J]. Dental Press J Orthod, 2021, 26(1): e211928.
[20] Tarnow DP, Magner AW, Fletcher P. The effect of the distance from the contact point to the crest of bone on the presence or absence of the interproximal dental papilla[J]. J Periodontol, 1992, 63(12): 995-996.
[21] Kumar S, Gandhi S, Valiathan A. Perception of smile esthetics among Indian dental professionals and laypersons[J]. Indian J Dent Res, 2012, 23(2): 295.
[1] 薛晶. 流动树脂注射充填技术的临床应用[J]. 国际口腔医学杂志, 2024, 51(6): 653-661.
Viewed
Full text


Abstract

Cited

  Shared   
  Discussed   
No Suggested Reading articles found!