国际口腔医学杂志 ›› 2020, Vol. 47 ›› Issue (4): 373-382.doi: 10.7518/gjkq.2020056

• 专家笔谈 •    下一篇

原发性牙根纵裂的诊治策略

李继遥1(),郑广宁2   

  1. 1.口腔疾病研究国家重点实验室 国家口腔疾病临床医学研究中心四川大学华西口腔医院牙体牙髓病科 成都 610041
    2.口腔疾病研究国家重点实验室 国家口腔疾病临床医学研究中心四川大学华西口腔医院口腔放射科 成都 610041
  • 收稿日期:2020-02-21 修回日期:2020-03-27 出版日期:2020-07-01 发布日期:2020-07-10
  • 通讯作者: 李继遥
  • 作者简介:李继遥,教授,博士<br/>专家简介:<br/>李继遥,口腔医学博士,教授,博士研究生导师。现任四川大学华西口腔医学院口腔内科学系主任,担任中华口腔医学会牙体牙髓病学专业委员会常务委员、四川省口腔医学会口腔美学专业委员会主任委员、四川省口腔医学会牙体牙髓病学专业委员会副主任委员。主要研究领域为牙体牙髓病的病因与防治、牙体硬组织仿生矿化。发表学术论文50余篇,主编专著2部、主译专著1部。先后负责或参与了国家自然科学基金项目,国家“十五”、“十一五”、“十二五”科技支撑计划项目,国家卫生健康委员会临床重点建设项目等10余项。作为主要完成人之一获国家科技进步二等奖1项、教育部科技进步一等奖3项、四川省科技进步一等奖2项、国家发明专利6项。擅长牙体牙髓病的现代治疗,尤其在牙体微创美学修复方面具有特色
  • 基金资助:
    四川省科技厅重点研发项目(2017SZ0030)

Spontaneous vertical root fracture: a diagnosis and treatment challenge

Li Jiyao1(),Zheng Guangning2   

  1. 1. State Key Laboratory of Oral Diseases & National Clinical Research Center for Oral Diseases & Dept. of Cariology and Endodontics, West China Hospital of Stomatology, Sichuan University, Chengdu 610041, China
    2. State Key Laboratory of Oral Diseases & National Clinical Research Center for Oral Diseases & Dept. of Oral Radiology, West China Hospital of Stomatology, Sichuan University, Chengdu 610041, China
  • Received:2020-02-21 Revised:2020-03-27 Online:2020-07-01 Published:2020-07-10
  • Contact: Jiyao Li
  • Supported by:
    This study was supported by Sichuan Province Science and Technology Support Program(2017SZ0030)

摘要:

非根管治疗相关的牙根纵裂又被称为原发性牙根纵裂(SVRF),是牙科临床难症。由于临床症状、体征、早期影像学表现缺乏特征性,即便是对于经验丰富的牙医,诊断SVRF也极具挑战性;当SVRF确诊后,又面临截断、修复纵裂牙根或者拔除纵裂患牙的抉择,而拔牙后的修复时机、修复方式也是需要评估的问题。笔者根据文献复习和近3年的临床病例研究结果,对SVRF的早期诊断与鉴别诊断要点、治疗原则与方案进行讨论,以期帮助牙医们提升对SVRF的辨识能力,为临床有效诊断和治疗SVRF提供借鉴。

关键词: 原发性牙根纵裂, 临床诊断, 鉴别诊断, 治疗策略, 影像学特征

Abstract:

Vertical root fracture in non-endodontically treated teeth, also known as spontaneous vertical root fracture (SVRF), is an intractable disease for most dental practitioners. Due to the lack of pathognomonic clinical manifestation and radiographic presentation in the early stage, the diagnosis of SVRF is extremely challenging even for experienced dentists. Even if SVRF is determined to be present, it is hard to make decision between treatment options including root resection, repairing the fractured root or tooth extract. Timing and method of restoration after tooth extraction also need to be considered. The aim of this paper was to discuss early diagnosis, differential diagnosis, the principles of treatments and the specific treatment plans of SVRF in the light of literature review and a 3-years clinical study, to help clinician to discern SVRF and to act as a reference for better clinical diagnosis and treatment.

Key words: spontaneous vertical root fracture, clinical diagnosis, differential diagnosis, treatment strategy, radiographic featur

中图分类号: 

  • R781.05

图 1

根管治疗后牙根纵裂 男,54岁。全景片示46根管治疗及冠修复后牙根纵裂,折片移位,根周大范围牙槽骨吸收。"

图 2

未经根管治疗的SVRF 女,46岁。X线片示46牙冠完好,根管空虚无充填物,近中根根管内径增宽,根尖孔扩大,牙周膜间隙增宽,牙根近中及根分叉区牙槽骨吸收。"

图 3

无症状的SVRF(组织学牙根纵裂) 男,44岁。X线片示46近中根根管内径增宽及根尖孔扩大。"

图 4

SVRF与慢性牙周炎患牙的牙周探诊检查 A:男,56岁。36确诊为SVRF,颊侧中份牙周袋深度为5 mm(UNC-15探针),探诊时牙周袋袋口狭窄,袋壁张力大,牙龈发白。B:男,46岁。47慢性牙周炎,颊侧中份牙周袋深度为6.5 mm(CPI探针),探诊时牙周袋袋口宽大,袋壁松弛,易于探入。"

图 5

SVRF近龈缘的窦道 男,58岁。46经锥形束CT确诊为SVRF。A:46口内照,见46颊侧近中近龈缘处窦道;B:X线片见46近中根根管内径增宽、根尖孔扩大、牙周膜间隙增宽及根分叉区骨吸收影。"

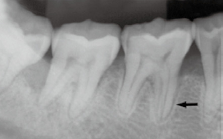
图 6

SVRF早期影像学表现 男,49岁。46经锥形束CT确诊为颊舌向的SVRF,X线片示46近中根根管内径增宽、根尖孔扩大及牙周膜间隙增宽。"

图 7

SVRF相关性“J”形骨吸收 男,62岁。46经锥形束CT确诊为颊舌向SVRF,X线片示根管中下段内径增宽、根尖孔扩大及包绕根尖部的“J”形骨吸收。"

图 8

SVRF患牙牙根一侧角形骨吸收 男,54岁。46经锥形束CT确诊为颊舌向的SVRF,见46近中根根管内径增宽、根尖孔扩大、近中牙槽骨呈角形吸收,其骨吸收影与近中根根面呈锐角。"

图 9

SVRF患牙牙根双侧角形骨吸收 女,72岁。36近中根纵裂,见根管内径增宽、根尖孔扩大、根双侧角形骨吸收均累及根中份水平。根分叉区骨吸收影与角形骨吸收影融合。"

图 10

SVRF晚期牙根折裂片移位 男,73岁。X线片示36近中根自根尖至根颈部完全纵裂,折裂片向近中移位,根尖周大范围骨吸收影。"

图 11

早期SVRF与牙内吸收 女,64岁。A:46确诊SVRF,X线片示近中根根管内径自根尖至根管中份线性均匀增宽,根管壁厚度不变;B:46为牙内吸收,X线片示46远中根根管中份似椭圆形的膨大,根管壁变薄。"

图 12

牙内吸收伴SVRF 男,44岁。X线片示36近中根根管中份椭圆形膨大,根管壁变薄,下方见根管内径均匀增宽,近中见牙槽骨角形吸收,最终锥形束CT诊断为牙内吸收伴SVRF。"

图 13

SVRF患牙的牙根及根周骨组织变化 男,46岁。锥形束CT轴位示46近中根中份横断面线状低密度影贯通颊舌侧根管壁及牙根外表面。"

图 14

SVRF患牙的多角度投照X线片及不同位锥形束CT图片 男,73岁,47诊断为SVRF。A~C:不同角度投照的X线片,A(分角线投照)示近中根内径增大,B(偏近中投照)、C(偏远中投照)未见明显异常;D~F:分别为锥形束CT矢状位、冠状位及轴位图片,可见47为颊舌向纵裂,裂纹自根尖孔往上延伸至牙根中段。"

图 15

SVRF患牙延迟拔除造成牙槽骨进行性破坏 男,63岁。A~E:2013年锥形束CT图片;F~K:2018年锥形束CT图片。2013年36牙经锥形束CT证实为SVRF,患者拒绝拔牙,5年来36牙槽骨进行性吸收,牙槽骨颊舌侧贯通破坏,骨水平高度明显降低。"

[1] Pitts DL, Natkin E. Diagnosis and treatment of verti-cal root fractures[J]. J Endod, 1983,9(8):338-346.
doi: 10.1016/S0099-2399(83)80150-2 pmid: 6579193
[2] Yoshino K, Ito K, Kuroda M, et al. Prevalence of vertical root fracture as the reason for tooth extrac-tion in dental clinics[J]. Clin Oral Investig, 2015,19(6):1405-1409.
doi: 10.1007/s00784-014-1357-4 pmid: 25398363
[3] Munari LS, Bowles WR, Fok ASL. Relationship be-tween canal enlargement and fracture load of root dentin sections[J]. Dent Mater, 2019,35(5):818-824.
doi: 10.1016/j.dental.2019.02.015 pmid: 30885408
[4] PradeepKumar AR, Shemesh H, van Loveren C, et al. Impact of apical extent of root canal filling on vertical root fracture: a case-control study[J]. Int En-dod J, 2019,52(9):1283-1289.
[5] Yoon HG, Oh HK, Lee DY, et al. 3-D finite element analysis of the effects of post location and loading location on stress distribution in root canals of the mandibular 1st molar[J]. J Appl Oral Sci, 2018,26:e20160406.
doi: 10.1590/1678-7757-2016-0406 pmid: 29451648
[6] Chai H, Tamse A. Vertical root fracture in buccal roots of bifurcated maxillary premolars from conden-sation of Gutta-percha[J]. J Endod, 2018,44(7):1159-1163.
doi: 10.1016/j.joen.2018.03.017 pmid: 29861061
[7] PradeepKumar AR, Shemesh H, Jothilatha S, et al. Diagnosis of vertical root fractures in restored endo-dontically treated teeth: a time-dependent retrospec-tive cohort study[J]. J Endod, 2016,42(8):1175-1180.
doi: 10.1016/j.joen.2016.04.012 pmid: 27339633
[8] 邹晓英, 岳林. 牙根纵裂的临床诊断[J]. 中国口腔医学继续教育杂志, 2009,12(3):59-64.
Zou XY, Yue L. Clinical diagnosis of vertical root fracture[J]. Chin J Stomatol Contin Edu, 2009,12(3):59-64.
[9] 董艳梅. 牙体牙髓病临床问题解析Ⅸ. 牙根纵裂的病因、危险因素及临床诊断[J]. 中华口腔医学杂志, 2011,46(10):627-630.
Dong YM. Analysis of endodontic diseases clinical problems. Ⅸ. The cause, risk fractors and clinical diagnosis of vertical root fracture[J]. Chin J Stomatol, 2011,46(10):627-630.
[10] Yang SF, Rivera EM, Walton RE. Vertical root frac-ture in nonendodontically treated teeth[J]. J Endod, 1995,21(6):337-339.
doi: 10.1016/S0099-2399(06)81013-7 pmid: 7673845
[11] Chan CP, Tseng SC, Lin CP, et al. Vertical root frac-ture in nonendodontically treated teeth—a clinical report of 64 cases in Chinese patients[J]. J Endod, 1998,24(10):678-681.
doi: 10.1016/s0099-2399(98)80154-4 pmid: 10023252
[12] Yoshino K, Ito K, Kuroda M, et al. Duration from initial symptoms to diagnosis of vertical root fracture in dental offices[J]. Bull Tokyo Dent Coll, 2018,59(1):59-61.
doi: 10.2209/tdcpublication.2016-0049 pmid: 29563363
[13] See WK, Ho JC, Huang CF, et al. The association between clinical diagnostic factors and the prevalence of vertical root fracture in endodontic surgery[J]. J Formos Med Assoc, 2019,118(3):713-720.
doi: 10.1016/j.jfma.2018.08.022 pmid: 30193836
[14] Liao WC, Tsai YL, Wang CY, et al. Clinical and ra-diographic characteristics of vertical root fractures in endodontically and nonendodontically treated teeth[J]. J Endod, 2017,43(5):687-693.
doi: 10.1016/j.joen.2016.12.009 pmid: 28292598
[15] 李会旭, 刘桂荣, 张艳, 等. 5例原发性牙根纵裂的临床诊断分析及文献回顾[J]. 口腔医学研究, 2018,34(11):1186-1191.
Li HX, Liu GR, Zhang Y, et al. Primary vertical root fracture: 5 cases reporet and review of literature[J]. J Oral Sci Res, 2018,34(11):1186-1191.
[16] Rivera EM, Walton RE. Longitudinal tooth fractures: findings that contribute to complex endodontic dia-gnoses[J]. Endodontic Topics, 2007,16(1):82-111.
[17] Tamse A, Fuss Z, Lustig J, et al. An evaluation of endodontically treated vertically fractured teeth[J]. J Endod, 1999,25(7):506-508.
doi: 10.1016/S0099-2399(99)80292-1 pmid: 10687518
[18] Walton RE, Michelich RJ, Smith GN. The histopa-thogenesis of vertical root fractures[J]. J Endod, 1984,10(2):48-56.
doi: 10.1016/S0099-2399(84)80037-0 pmid: 6586962
[19] Walton RE. Vertical root fracture: factors related to identification[J]. J Am Dent Assoc, 2017,148(2):100-105.
doi: 10.1016/j.adaj.2016.11.014 pmid: 28129797
[20] Tamse A, Tsesis I, Rosen E. Vertical root fractures in dentistry[M]. Berlin: Springer, 2015.
[21] Gordon MP, Chandler NP. Electronic apex locators[J]. Int Endod J, 2004,37(7):425-437.
doi: 10.1111/j.1365-2591.2004.00835.x pmid: 15189431
[22] 丁江峰, 江千舟, 陈敏乐. 根尖定位仪定位根管纵折的体外研究[J]. 口腔医学研究, 2013,29(10):939-941.
Ding JF, Jiang QZ, Chen ML. Evaluation of apex locators in detection of the vertical root fractures in vitro[J]. J Oral Sci Res, 2013,29(10):939-941.
[23] Azabal M, Garcia-Otero D, de la Macorra JC. Ac-curacy of the Justy Ⅱ Apex locator in determining working length in simulated horizontal and vertical fractures[J]. Int Endod J, 2004,37(3):174-177.
doi: 10.1111/j.0143-2885.2004.00776.x pmid: 15009406
[24] 郑广宁, 李继遥. 牙根折裂的影像诊断[J]. 华西口腔医学杂志, 2016,34(1):1-5.
Zheng GN, Li JY. Radiographic diagnosis of vertical root fracture[J]. West China J Stomatol, 2016,34(1):1-5.
[25] Special Committee to Revise the Joint AAE/AAOMR Position Statement on use of CBCT in Endodontics. AAE and AAOMR joint position statement: use of cone beam computed tomography in endodontics 2015 update[J]. Oral Surg Oral Med Oral Pathol Oral Radiol, 2015,120(4):508-512.
doi: 10.1016/j.oooo.2015.07.033 pmid: 26346911
[26] Leader DM. CBCT is valuable for diagnosis of tooth fracture[J]. Evid Based Dent, 2015,16(1):23-24.
doi: 10.1038/sj.ebd.6401082 pmid: 25909938
[27] Long H, Zhou Y, Ye N, et al. Diagnostic accuracy of CBCT for tooth fractures: a meta-analysis[J]. J Dent, 2014,42(3):240-248.
doi: 10.1016/j.jdent.2013.11.024 pmid: 24321294
[28] Brady E, Mannocci F, Brown J, et al. A comparison of cone beam tomography and periapical radiography for the detection of vertical root fractures in nonen-dodontically treated teeth[J]. Int Endod J, 2014,47(8):735-746.
doi: 10.1111/iej.12209
[29] Guo XL, Li G, Zheng JQ, et al. Accuracy of detec-ting vertical root fractures in non-root filled teeth using cone beam computed tomography: effect of voxel size and fracture width[J]. Int Endod J, 2019,52(6):887-898.
doi: 10.1111/iej.13076 pmid: 30661246
[30] Guo XL, Li G, Yin S, et al. Effect of fracture orienta-tion on detection accuracy of vertical root fractures in non-endodontically treated teeth using cone beam computed tomography[J]. Clin Oral Investig, 2019,23(12):4433-4439.
doi: 10.1007/s00784-019-02905-0 pmid: 30982180
[31] White SN, Miklus VG, Potter KS, et al. Endodontics and implants, a catalog of therapeutic contrasts[J]. J Evid Based Dent Pract, 2006,6(1):101-109.
doi: 10.1016/j.jebdp.2005.12.013 pmid: 17138408
[32] Abboud M, Kobren LB, Orentlicher G. Implant complications: biomechanical and esthetic conside-rations—a prosthodontist’s perspective[J]. Compend Contin Educ Dent, 2013,34(Spec No 7):20-24.
[33] De Rouck T, Eghbali R, Collys K, et al. The gingival biotype revisited: transparency of the periodontal probe through the gingival margin as a method to discriminate thin from thick gingiva[J]. J Clin Perio-dontol, 2009,36(5):428-433.
[34] Chang M, Odman PA, Wennström JL, et al. Esthetic outcome of implant-supported single-tooth replace-ments assessed by the patient and by prosthodontists[J]. Int J Prosthodont, 1999,12(4):335-341.
pmid: 10635203
[35] 徐玮哲, 宋东哲, 谭学莲, 等. 右侧下颌第一磨牙近中原发性牙根纵裂行活髓保存治疗1例[J]. 华西口腔医学杂志, 2019,37(5):563-567.
Xu WZ, Song DZ, Tan XL, et al. Vital pulp preserva-tion treatment in mandibular right first molar with vertical root fractures: a case report[J]. West China J Stomatol, 2019,37(5):563-567.
[36] Ku HM, Oh YR, Lee ES, et al. Using autofluorescence to detect bacterial contamination in root fractures[J]. J Dent, 2019,86:27-32.
doi: 10.1016/j.jdent.2019.05.024 pmid: 31121242
[37] Floratos SG, Kratchman SI. Surgical management of vertical root fractures for posterior teeth: report of four cases[J]. J Endod, 2012,38(4):550-555.
doi: 10.1016/j.joen.2011.12.030 pmid: 22414848
[38] Zhou W, Zheng Q, Tan X, et al. Comparison of mineral trioxide aggregate and iRoot BP plus root repair material as root-end filling materials in endo-dontic microsurgery: a prospective randomized con-trolled study[J]. J Endod, 2017,43(1):1-6.
doi: 10.1016/j.joen.2016.10.010 pmid: 27986096
[39] Okaguchi M, Kuo T, Ho YC. Successful treatment of vertical root fracture through intentional replantation and root fragment bonding with 4-META/MMA-TBB resin[J]. J Formos Med Assoc, 2019,118(3):671-678.
doi: 10.1016/j.jfma.2018.08.004 pmid: 30145002
[40] Takeuchi S, Sekita T, Kobayashi K. Adhesive approach using internal coping for vertical root fractured teeth with flared root canals[J]. N Y State Dent J, 2015,81(4):29-33.
pmid: 26373031
[41] Hadrossek PH, Dammaschke T. New treatment option for an incomplete vertical root fracture—a preliminary case report[J]. Head Face Med, 2014,10:9.
doi: 10.1186/1746-160X-10-9 pmid: 24670232
[42] Sugaya T, Tomita M, Motoki Y, et al. Periodontal tissue repair after sealing of the gap in vertical root fracture[J]. Odontology, 2017,105(2):202-207.
doi: 10.1007/s10266-016-0270-5 pmid: 27655624
[43] Corbella S, Taschieri S, Samaranayake L, et al. Im-plant treatment choice after extraction of a vertically fractured tooth. Aproposal for a clinical classification of bony defects based on a systematic review of literature[J]. Clin Oral Implants Res, 2014,25(8):946-956.
doi: 10.1111/clr.12164 pmid: 23560723
[1] 董栩,徐欣. 牙隐裂临床研究进展[J]. 国际口腔医学杂志, 2021, 48(6): 668-674.
[2] 孟抒怀,罗锋,裴锡波,万乾炳. 先天性梅毒牙的研究现状[J]. 国际口腔医学杂志, 2021, 48(4): 439-443.
[3] 蔡潇潇. 美学区数字化种植策略与流程[J]. 国际口腔医学杂志, 2019, 46(6): 621-630.
[4] 赵文俊,刘媛媛,郝晓琪,王凯利,任家银,郭文豪,郑广宁. 46例患者第三磨牙区多生牙的影像学分析[J]. 国际口腔医学杂志, 2019, 46(1): 20-25.
[5] 赵文俊, 王凯利, 刘莉, 郭文豪, 郑广宁. 2例下颌髁突动脉瘤样骨囊肿[J]. 国际口腔医学杂志, 2018, 45(3): 307-312.
[6] 李蔚 蒋文. 头颈部肌内黏液瘤[J]. 国际口腔医学杂志, 2013, 40(6): 747-749.
[7] 李丽综述 吴红崑审校. 隐匿龋的研究进展[J]. 国际口腔医学杂志, 2009, 36(6): 704-707.
[8] 伍俊. 眶颧联合骨折的治疗进展[J]. 国际口腔医学杂志, 2004, 31(S1): -.
[9] 张媛媛. 慢性口腔溃疡的病因和临床鉴别诊断[J]. 国际口腔医学杂志, 2004, 31(S1): -.
Viewed
Full text


Abstract

Cited

  Shared   
  Discussed   
[1] 张新春. 桩冠修复与无髓牙的保护[J]. 国际口腔医学杂志, 1999, 26(06): .
[2] 王昆润. 长期单侧鼻呼吸对头颅发育有不利影响[J]. 国际口腔医学杂志, 1999, 26(05): .
[3] 彭国光. 颈淋巴清扫术中颈交感神经干的解剖变异[J]. 国际口腔医学杂志, 1999, 26(05): .
[4] 杨凯. 淋巴化疗的药物运载系统及其应用现状[J]. 国际口腔医学杂志, 1999, 26(05): .
[5] 康非吾. 种植义齿下部结构生物力学研究进展[J]. 国际口腔医学杂志, 1999, 26(05): .
[6] 柴枫. 可摘局部义齿用Co-Cr合金的激光焊接[J]. 国际口腔医学杂志, 1999, 26(04): .
[7] 孟姝,吴亚菲,杨禾. 伴放线放线杆菌产生的细胞致死膨胀毒素及其与牙周病的关系[J]. 国际口腔医学杂志, 2005, 32(06): 458 -460 .
[8] 费晓露,丁一,徐屹. 牙周可疑致病菌对口腔黏膜上皮的粘附和侵入[J]. 国际口腔医学杂志, 2005, 32(06): 452 -454 .
[9] 赵兴福,黄晓晶. 变形链球菌蛋白组学研究进展[J]. 国际口腔医学杂志, 2008, 35(S1): .
[10] 庞莉苹,姚江武. 抛光和上釉对陶瓷表面粗糙度、挠曲强度及磨损性能的影响[J]. 国际口腔医学杂志, 2008, 35(S1): .