 
 国际口腔医学杂志 ›› 2025, Vol. 52 ›› Issue (6): 791-797.doi: 10.7518/gjkq.2025104
        
               		黄润语1,2( ),赵晓娴1,2,张春叶2,3,张颖1,2,周永梅1,2,吴岚1,2(
),赵晓娴1,2,张春叶2,3,张颖1,2,周永梅1,2,吴岚1,2( )
)
                  
        
        
        
        
    
        
               		Runyu Huang1,2( ),Xiaoxian Zhao1,2,Chunye Zhang2,3,Ying Zhang1,2,Yongmei Zhou1,2,Lan Wu1,2(
),Xiaoxian Zhao1,2,Chunye Zhang2,3,Ying Zhang1,2,Yongmei Zhou1,2,Lan Wu1,2( )
)
			  
			
			
			
                
        
    
摘要:
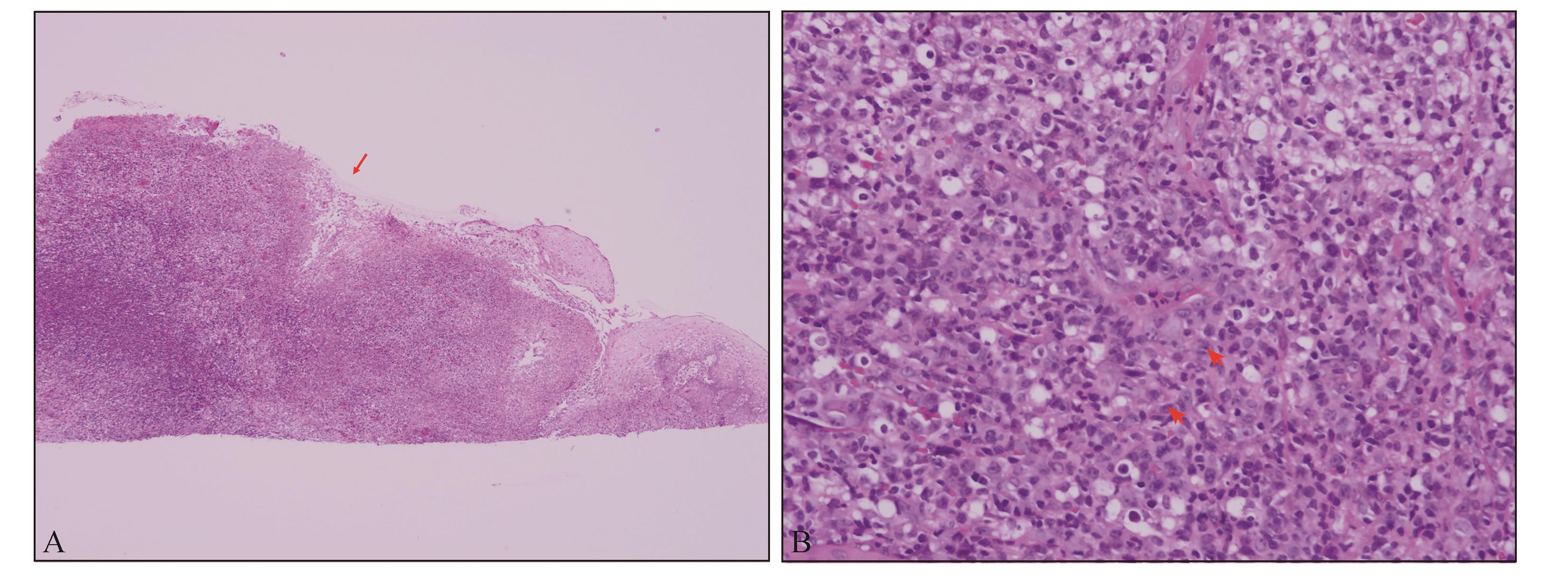
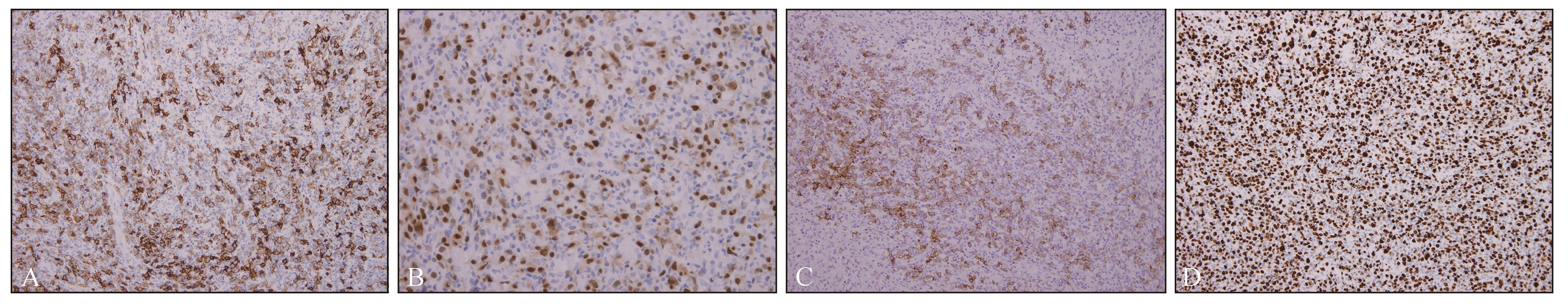
EB病毒阳性弥漫性大B细胞淋巴瘤(EBV+ DLBCL)是一种罕见的侵袭性B细胞淋巴瘤,好发于老年人,预后不良,结外受累部位常见于胃肠道、皮肤、骨髓,发生在牙龈的EBV+ DLBCL非常罕见。EBV+ DLBCL在病理组织形态学和免疫表型上,与EB病毒阳性黏膜皮肤溃疡极其相似,明确诊断具有挑战性。本文报告了1例原先诊断为EB病毒阳性黏膜皮肤溃疡(EBVMCU)的病例,后经淋巴瘤基因重排技术确诊为EBV+ DLBCL患者的临床表现和病理组织学特征,以期加深对该疾病的认识,有助于此类恶性疾病的早期诊断与治疗。
中图分类号:
| [1] | 陈光亮, 吴方恬, 曹军宁. 非特指EBV阳性弥漫大B细胞淋巴瘤的研究进展[J]. 中国癌症杂志, 2022, 32(3): 258-267. | 
| Chen GL, Wu FT, Cao JN. Advances in research on EBV positive diffuse large B-cell lymphoma, not otherwise specified[J]. China Oncol, 2022, 32(3):258-267. | |
| [2] | Oyama T, Ichimura K, Suzuki R, et al. Senile EBV+ B-cell lymphoproliferative disorders: a clinicopathologic study of 22 patients[J]. Am J Surg Pathol, 2003, 27(1): 16-26. | 
| [3] | Malpica L, Marques-Piubelli ML, Beltran BE, et al. EBV-positive diffuse large B-cell lymphoma, not otherwise specified: 2022 update on diagnosis, risk-stratification, and management[J]. Am J Hematol, 2022, 97(7): 951-965. | 
| [4] | Silkenstedt E, Salles G, Campo E, et al. B-cell non-Hodgkin lymphomas[J]. Lancet, 2024, 403(10438): 1791-1807. | 
| [5] | Tse E, Kwong YL. The diagnosis and management of NK/T-cell lymphomas[J]. J Hematol Oncol, 2017, 10(1): 85. | 
| [6] | Bourbon E, Maucort-Boulch D, Fontaine J, et al. Clinicopathological features and survival in EBV-positive diffuse large B-cell lymphoma not otherwise specified[J]. Blood Adv, 2021, 5(16): 3227-3239. | 
| [7] | 叶云霞, 张文燕, 李甘地, 等. 中国西南地区老年人EB病毒阳性弥漫大B细胞淋巴瘤的临床病理特点及预后分析[J]. 四川大学学报(医学版), 2014, 45(4): 652-657. | 
| Ye YX, Zhang WY, Li GD, et al. A clinicopatholo-gic and prognosis study of Epstein-Barr virus positive diffuse large B-cell lymphoma in west-southern China[J]. J Sichuan Univ (Med Sci Ed), 2014, 45(4): 652-657. | |
| [8] | Alruwaii ZI, Montgomery EA. Select Epstein-Barr virus-associated digestive tract lesions for the practicing pathologist[J]. Arch Pathol Lab Med, 2021, 145(5): 562-570. | 
| [9] | Gebauer N, Künstner A, Ketzer J, et al. Genomic insights into the pathogenesis of Epstein-Barr virus-associated diffuse large B-cell lymphoma by whole-genome and targeted amplicon sequencing[J]. Blood Cancer J, 2021, 11(5): 102. | 
| [10] | Nicolae A, Pittaluga S, Abdullah S, et al. EBV-positive large B-cell lymphomas in young patients: a nodal lymphoma with evidence for a tolerogenic immune environment[J]. Blood, 2015, 126(7): 863-872. | 
| [11] | Papageorgiou A, Voulgarelis M, Tzioufas AG. Clinical picture, outcome and predictive factors of lymphoma in Sjӧgren syndrome[J]. Autoimmun Rev, 2015, 14(7): 641-649. | 
| [12] | Voulgarelis M, Dafni UG, Isenberg DA, et al. Malignant lymphoma in primary Sjögren’s syndrome: a multicenter, retrospective, clinical study by the European concerted action on Sjögren’s syndrome[J]. Arthritis Rheum, 1999, 42(8): 1765-1772. | 
| [13] | 杨晨萌, 方美云. 风湿免疫病与淋巴瘤的相关性[J]. 中华血液学杂志, 2019, 40(10): 880-883. | 
| Yang CM, Fang MY. The correlation between rheumatic immunopathy and lymphoma[J]. Chin J Hematol, 2019, 40(10): 880-883. | |
| [14] | 胡晓梅, 邱宗建, 杨映红. EBV阳性弥漫大B细胞淋巴瘤18例临床病理分析[J]. 临床与实验病理学杂志, 2019, 35(8): 953-956. | 
| Hu XM, Qiu ZJ, Yang YH. Clinical and pathological analysis of 18 cases of EBV positive diffuse large B-cell lymphoma[J]. Chin J Clin Exp Pathol, 2019, 35(8): 953-956. | |
| [15] | Witte HM, Merz H, Biersack H, et al. Impact of treatment variability and clinicopathological characteristics on survival in patients with Epstein-Barr-virus positive diffuse large B cell lymphoma[J]. Br J Haematol, 2020, 189(2): 257-268. | 
| [16] | Kiyasu J, Miyoshi H, Hirata A, et al. Expression of programmed cell death ligand 1 is associated with poor overall survival in patients with diffuse large B-cell lymphoma[J]. Blood, 2015, 126(19): 2193-2201. | 
| [17] | Witte H, Künstner A, Gebauer N. Update: the molecular spectrum of virus-associated high-grade B-cell non-Hodgkin lymphomas[J]. Blood Rev, 2024, 65: 101172. | 
| [18] | Ikeda T, Gion Y, Sakamoto M, et al. Clinicopathological analysis of 34 Japanese patients with EBV-positive mucocutaneous ulcer[J]. Mod Pathol, 2020, 33(12): 2437-2448. | 
| [19] | 中国医师协会医学技师委员会病理技术专家组, 中国医学装备协会病理装备分会标准化部, 中国研究型医院学会病理学专业委员会病理技术学组, 等. 淋巴瘤基因重排检测技术及解读中国专家共识(2023版)[J]. 中华病理学杂志, 2023, 52(6): 558-565. | 
| Pathological Technology Expert Group of Medical Technician Committee of Chinese Medical Doctor Association, Standardization Department of Pathological Equipment Branch of China Medical Equipment Association, Pathological Technology Group, Pathology Professional Committee, China Research Hospital Association, et al. Chinese expert consensus on detection techniques and interpretation of lymphoma gene rearrangement (2023 version) [J]. Chin J Pathol, 2023, 52(6): 558-565. | |
| [20] | Salles G. 13 diffuse large B-cell lymphoma[J]. Eur J Cancer Suppl, 2010, 8(4): 8-9. | 
| [21] | Zeng X, Jin X, Zhong L, et al. Difficult and complicated oral ulceration: an expert consensus guideline for diagnosis[J]. Int J Oral Sci, 2022, 14(1): 28. | 
| [1] | 王岳,季一鸣,王晓毅,张凌楠,孙乐刚. 人乳头状瘤病毒16相关口咽鳞状细胞癌独特生物学行为及治疗的研究现状[J]. 国际口腔医学杂志, 2021, 48(4): 450-458. | 
| [2] | 岳金涵,王非,辛川,尹凤英,陈谦明,曾昕. 自伤性口腔溃疡的病因和临床诊疗特点[J]. 国际口腔医学杂志, 2020, 47(5): 595-600. | 
| [3] | 孟文霞, 蒋李懿, 赖艳群, 姚艳梅. 1例艾滋病非典型表现引发的思考[J]. 国际口腔医学杂志, 2018, 45(2): 132-134. | 
| [4] | 刘建芳1,赵富虎2,刘丽春3. 应用口溃宁胶囊治疗复发性口腔溃疡的临床效果初探[J]. 国际口腔医学杂志, 2009, 36(1): 30-30~31. | 
| [5] | 尹晓华1,季小平2,廉维3,陈莉3. 多抗甲素治疗复发性口腔溃疡的临床观察[J]. 国际口腔医学杂志, 2007, 34(03): 160-161. | 
| [6] | 申静,樊明文,陈新明. 腺牙源性囊肿[J]. 国际口腔医学杂志, 2005, 32(06): 443-445. | 
| [7] | 张媛媛. 慢性口腔溃疡的病因和临床鉴别诊断[J]. 国际口腔医学杂志, 2004, 31(S1): -. | 
| [8] | 吴兰雁,李秉琦,周学东. 涎腺淋巴上皮癌的发生[J]. 国际口腔医学杂志, 2004, 31(06): 416-418. | 
| [9] | 尚姝环 李成章 樊明文. 疱疹病毒感染与牙周炎[J]. 国际口腔医学杂志, 2004, 31(02): 115-116. | 
| [10] | 杨海玲 孙正 方玉. 表皮生长因子在口腔溃疡愈合中的作用[J]. 国际口腔医学杂志, 2003, 30(04): 286-288. | 
| [11] | 谭葆春 段开文 吴恩格. 复发性口腔溃疡局部治疗研究新进展[J]. 国际口腔医学杂志, 2003, 30(04): 330-332. | 
| [12] | 黄韦 吴兰雁. 头颈部浆细胞瘤临床病理分析及其发病机制研究进展[J]. 国际口腔医学杂志, 2003, 30(01): 65-67. | 
| [13] | 耿海霞. 疱疹病毒感染与口腔溃疡[J]. 国际口腔医学杂志, 1999, 26(04): -. | 
| 
 | ||