国际口腔医学杂志 ›› 2023, Vol. 50 ›› Issue (1): 82-90.doi: 10.7518/gjkq.2023007

• 方法介绍 • 上一篇    下一篇

实现牙列前移新型推簧装置的改良应用

朱叶玲1(),王茜2,孙天瞳1,王丽娜1,何小明1,李加志1()   

  1. 1.深圳佳至口腔门诊部 深圳 518028
    2.中山大学光华口腔医学院·附属口腔医院正畸科 广东省口腔医学重点实验室 广州 510055
  • 收稿日期:2022-03-10 修回日期:2022-07-10 出版日期:2023-01-01 发布日期:2023-01-09
  • 通讯作者: 李加志
  • 作者简介:朱叶玲,主治医师,学士,Email:1527741078@qq.com
  • 基金资助:
    深圳市福田区卫生公益性科研项目(FTWS2020082)

Improved application of a novel device that could achieve dental arch mesialization

Zhu Yeling1(),Wang Xi2,Sun Tiantong1,Wang Lina1,He Xiaoming1,Li Jiazhi1()   

  1. 1.Jiazhi Dental Clinic, Shenzhen 518028, China
    2.Dept. of Orthodontics, Hospital of Stomatology, Guanghua School of Stomatology, Sun Yat-sen University; Guangdong Provincial Key Laboratory of Stomatology, Guangzhou 510055, China
  • Received:2022-03-10 Revised:2022-07-10 Online:2023-01-01 Published:2023-01-09
  • Contact: Jiazhi Li
  • Supported by:
    Shenzhen Futian District Public Health and Public Welfare Research Project(FTWS-2020082)

摘要:

临床上能实现单纯磨牙近中移动、单纯前牙近中移动、全牙列前移或者矫正牙列中线的正畸方法不多、操作复杂或者有较多不良反应等,本文结合2例病例介绍一种与种植支抗钉联合应用,能够实现全牙列前移、后牙前移关闭间隙、前牙前移或者矫正中线的新型推簧装置;该推簧装置由控力主杆、加力推簧、传力转换角、传力臂等4个组件组成;并分析探讨了该装置的生物力学结构原理及临床应用效果,为实现临床上类似患者的治疗提供一种新的治疗方法。

关键词: 新型推簧, 正畸前移, 固定正畸矫正器, 种植支抗钉

Abstract:

In clinical practice, few orthodontic methods could be used to achieve simple mesial movement of molars, mesial movement of anterior teeth, anterior movement of whole dentition, or correction of midline of dentition. However, they are complicated or they have many side effects. Combining two cases, this paper introduces a new type of spring pushing device, which could achieve the whole dentition forward, the posterior teeth forward to close the gap, the anterior teeth forward, or the midline correction. The spring pushing device is composed of four components, such as the force control lever, the force pushing spring, the force transfer angle, and the force arm. The biomechanical structure principle and clinical application effect of the device were analyzed and discussed to provide a new treatment method for similar clinical patients.

Key words: novel spring, orthodontic advancement, fixed appliance, skeletal anchorage

中图分类号: 

  • R 783.5

图 1

新型推簧装置结构A:新型推簧装置组装完成的结构图;B:装置的4个组件。"

图 2

装置口外测量准备A:控力主杆长度;B:传力臂长度;C:推簧长度;b:种植钉与唇弓的垂直距离。"

图 3

装置安装A:口外安装;B:口内安装。"

图 4

装置固定"

图 5

推簧装置力的传递F1:推簧原始推力;F2:橡皮链等产生牵引力;F:终末推力。"

图 6

牙齿受力及移动方式分析红色线条为矫正前牙齿位置,白色线条为推力作用下牙齿前移,蓝色及红色箭头表示下颌牙列出现向前下的移动表现,深蓝色圆点表示下牙列的阻抗中心,浅蓝色圆点表示后牙单颗牙齿的阻抗中心。"

表 1

病例1矫治前后头影测量值分析"

测量项目矫正前矫正后
SNA/°85.3081.67
SNB/°76.8275.64
ANB/°8.486.03
FMA/°14.6215.49
U1-NA/mm1.900.77
U1-NA/°12.6510.27
U1-SN/°97.9591.95
L1-NB/mm4.364.70
L1-NB/°31.3941.07
L1-MP/°112.89122.42
UL-EP/mm2.41-0.57
LL-EP/mm0.130.13

图 7

病例1治疗前面颌像及X线片A~C:患者正面、微笑和侧面像;D:X线侧位片;E:全景片;F~H:患者口内右侧、正面和左侧咬合照;I、J:患者上颌、下颌口内照。"

图 8

病例1治疗中面颌像A~C:患者口内右侧、正面和左侧咬合照;D、E:患者上颌、下颌口内照。"

图 9

病例1治疗后面颌像及X线片A~C:患者正面、微笑和侧面像;D:X线侧位片;E:全景片;F~H:患者口内右侧、正面和左侧咬合照;I、J:患者上颌、下颌口内照。"

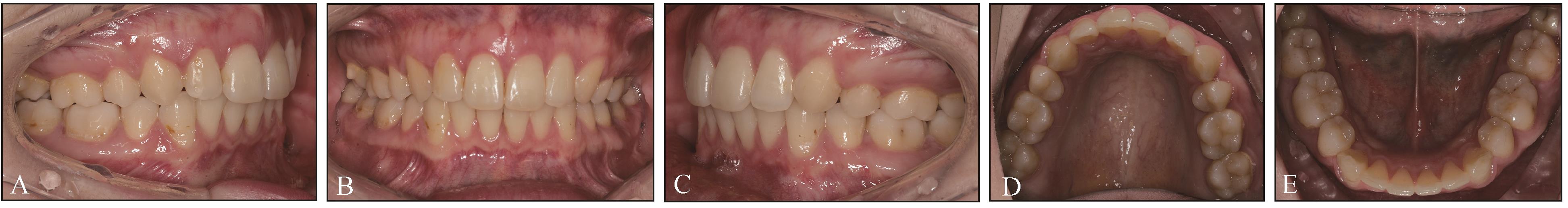
图 10

病例1保持1年后面颌像A~C:患者口内右侧、正面和左侧咬合照;D、E:患者上颌、下颌口内照。"

表 2

病例2治疗前后头颅侧位片分析测量值"

测量项目矫正前矫正后
SNA/°74.5981.15
SNB/°80.1679.73
ANB/°-0.561.43
FMA/°31.5633.05
U1-NA/mm4.415.05
U1-NA/°19.2122.98
U1-SN/°98.81104.13
L1-NB/mm5.524.84
L1-NB/°18.8622.17
L1-MP/°75.1377.76
UL-EP/mm-3.85-2.93
LL-EP/mm1.56-0.46

图 11

病例2治疗前面颌像及X线片A~C:患者正面、微笑和侧面像;D:X线侧位片;E:全景片;F~H:患者口内右侧、正面和左侧咬合照;I、J:患者上颌、下颌口内照。"

图 12

病例2治疗中面颌像A~C:患者口内右侧、正面和左侧咬合照;D、E:患者上颌、下颌口内照。"

图 13

病例2治疗后面颌像及X线片A~C:患者正面、微笑和侧面像;D:X线侧位片;E:全景片;F~H:患者口内右侧、正面和左侧咬合照;I、J:患者上颌、下颌口内照。"

图 14

病例2结束治疗1年后面颌像A~C:患者口内右侧、正面和左侧咬合照;D、E:患者上颌、下颌口内照。"

1 Janson G, Sathler R, Fernandes TM, et al. Correction of Class Ⅱ malocclusion with Class Ⅱ elastics: a systematic review[J]. Am J Orthod Dentofacial Orthop, 2013, 143(3): 383-392.
2 胡敏, 相亚宁, 李洪, 等. 4种不同类型颌间牵引对颞下颌关节应力分布影响的三维有限元研究[J]. 华西口腔医学杂志, 2010, 28(2): 145-148.
Hu M, Xiang YN, Li H, et al. The stress distribution of the temporomandibular jiont under four types of inter-arch elastic-a three dimentional finite element model analysis[J]. West China J Stomatol, 2010, 28(2): 145-148.
3 Wilmes B, Nienkemper M, Nanda R, et al. Palatally anchored maxillary molar mesialization using the mesialslider[J]. J Clin Orthod, 2013, 47(3): 172-179.
4 Laurentjoye M, Majoufre-Lefebvre C, Siberchicot F, et al. Result of maxillomandibular fixation using intraoral cortical bone screws for condylar fractures of the mandible[J]. J Oral Maxillofac Surg, 2009, 67(4): 767-770.
5 傅民魁. 口腔正畸学[M]. 第6版, 北京: 人民卫生出版社, 2013: 233.
Fu MK. Orthodontics[M]. 6th ed. Beijing: People’s Medical Publishing House, 2013: 233.
6 付欣, 房玉镇, 叶之慧. 颌间牵引对颞下颌关节区应力分布及位移影响的有限元研究[J]. 中国体视学与图像分析, 2017, 22(4): 477-484.
Fu X, Fang YZ, Ye ZH. Finite element analysis of the effect of intermaxillary traction on stress distribution and displacement in temporomandibular joint[J]. Chin J Stereol Image Anal, 2017, 22(4): 477-484.
7 刘进. 正畸治疗中磨牙的拔除和保留(四十五)——牙槽外正畸支抗钉种植的部位及应用[J]. 临床口腔医学杂志, 2009, 25(8): 510-511.
Liu J. The location and application of skeletal anchorage[J]. Clin Stomatol, 2009, 25(8): 510-511.
8 邓海艳, 刘海霞. 影响种植支抗稳定性的因素分析[J]. 口腔医学, 2013, 33(7): 496-497.
Deng HY, Liu HX. Analysis of factors affecting the stability of planting anchorage[J]. Stomatology, 2013, 33(7): 496-497.
9 Jeong GM, Sung SJ, Lee KJ, et al. Finite-element investigation of the center of resistance of the maxillary dentition[J]. Korean J Orthod, 2009, 39(2): 83-94.
10 Jo AR, Mo SS, Lee KJ, et al. Finite-element analysis of the center of resistance of the mandibular dentition[J]. Korean J Orthod, 2017, 47(1): 21-30.
11 徐琳, 段银钟, 谭家莉, 等. 涉及正畸拔除病变第一磨牙矫治牙列拥挤前突的临床研究[J]. 口腔正畸学, 2008, 15(3): 114-117.
Xu L, Duan YZ, Tan JL, et al. Clinic study related to the extraction of the unhealthy first molars[J]. Chin J Orthod, 2008, 15(3): 114-117.
12 Wise GE, King GJ. Mechanisms of tooth eruption and orthodontic tooth movement[J]. J Dent Res, 2008, 87(5): 414-434.
13 Andrews LF. Article 2: six element diagnostic record[J]. Andrews J Orthod Orofac Harm, 2001, 2(1): 15-20.
14 Andrews LF. The 6-elements orthodontic philosophy: treatment goals, classification, and rules for treating[J]. Am J Orthod Dentofacial Orthop, 2015, 148(6): 883-887.
15 张珂, 白丁. Andrews口颌面协调六要素在侧貌美学中的应用[J]. 国际口腔医学杂志, 2010, 37(2): 236-239.
Zhang K, Bai D. Application of Andrews’ six elements of orofacial harmony in profile esthetics[J]. Int J Stomatol, 2010, 37(2): 236-239.
16 Andrews LF. The six elements of orofacial harmony[J]. Andrews J Orthod Orofac Harm, 2000, 1(1): 13-22.
17 陈玉梅, 汪海峰, 陈华. 正畸治疗中与颞下颌关节紊乱相关的因素分析[J]. 右江民族医学院学报, 2009, 31(2): 241.
Chen YM, Wang HF, Chen H. Analysis of factors related to temporomandibular joint disorder in ortho-dontic treament[J]. J Youjiang Med Col Natl, 2009, 31(2): 241.
18 张超. 微螺钉支抗种植体近中移动下颌第二磨牙的临床研究[J]. 现代预防医学, 2010, 37(17): 3372-3373.
Zhang C. Clinical study on gliding orthowire and the mesial movement of mandibular second molar[J]. Modern Prevent Med, 2010, 37(17): 3372-3373.
19 Liou EJ, Chen PH, Wang YC, et al. A computed tomographic image study on the thickness of the infrazygomatic crest of the maxilla and its clinical implications for miniscrew insertion[J]. Am J Orthod Dentofacial Orthop, 2007, 131(3): 352-356.
20 肖微, 曾妮, 胡帆, 等. 微螺钉支抗考虑的国人正常颌骨皮质厚度CT测量分析[J]. 中华口腔正畸学杂志, 2009, 16(3): 126-129.
Xiao W, Zeng N, Hu F, et al. Three dimensional evaluation of the thickness of bone cortex of the upper and lower jaw[J]. Chin J Orthod, 2009, 16(3): 126-129.
21 李加志, 刘进, 郭鑫. 种植支抗牵引全牙弓后移的临床初探[J]. 中华口腔正畸学杂志, 2011, 18(2): 76-83.
Li JZ, Liu J, Guo X. A pilot study on retraction of the whole dentition with skeletal anchorage[J]. Chin J Orthod, 2011, 18(2): 76-83.
22 曾祥龙. 正畸种植体支抗的发展、类型与应用[J]. 口腔正畸学, 2005, 12(1): 44-48.
Zeng XL. The development, pattern and application of orthodontic implant[J]. Chin J Orthod, 2005, 12(1): 44-48.
[1] 谢雨菲 陆佩珺 胡铮 冯静 沈刚. 颧牙槽嵴区域骨密质厚度的锥形束CT测量分析[J]. 国际口腔医学杂志, 2014, 41(3): 281-285.
Viewed
Full text


Abstract

Cited

  Shared   
  Discussed   
[1] 王昆润. 二甲亚砜和双氯芬酸并用治疗根尖周炎[J]. 国际口腔医学杂志, 1999, 26(06): .
[2] 汤庆奋,王学侠. 17β-雌二醇对人类阴道和口腔颊粘膜的渗透性[J]. 国际口腔医学杂志, 1999, 26(06): .
[3] 潘劲松. 颈总动脉指压和颈内动脉球囊阻断试验在大脑血液动力学中的不同影响[J]. 国际口腔医学杂志, 1999, 26(05): .
[4] 王昆润. 后牙冠根斜形牙折的治疗[J]. 国际口腔医学杂志, 1999, 26(05): .
[5] 杨锦波. 嵌合体防龋疫苗的研究进展[J]. 国际口腔医学杂志, 1999, 26(05): .
[6] 王昆润. 下颔骨成形术用网状钛板固定植骨块[J]. 国际口腔医学杂志, 1999, 26(04): .
[7] 汪月月,郭莉莉. 口腔机能与老化—痴呆危险因素流行病学研究[J]. 国际口腔医学杂志, 1999, 26(04): .
[8] 丁刚. 应用硬组织代用品种植体行丰颏术[J]. 国际口腔医学杂志, 1999, 26(04): .
[9] 田磊. 局部应用脂多糖后结合上皮反应性增生的变化[J]. 国际口腔医学杂志, 1999, 26(04): .
[10] 戴青. 口腔念珠菌病的新分类[J]. 国际口腔医学杂志, 1999, 26(04): .