国际口腔医学杂志 ›› 2019, Vol. 46 ›› Issue (4): 373-382.doi: 10.7518/gjkq.2019069

• 专家笔谈 •    下一篇

无托槽隐形矫治技术推磨牙向后的临床应用策略

赖文莉()   

  1. 口腔疾病研究国家重点实验室 国家口腔疾病临床医学研究中心 四川大学华西口腔医院正畸科 成都 610041
  • 收稿日期:2018-12-20 修回日期:2019-03-27 出版日期:2019-07-01 发布日期:2019-07-12
  • 作者简介:赖文莉,教授,博士,Email:<email>wenlilai@scu.edu.cn</email> <br/>专家简介: <br/>赖文莉,教授,博士研究生导师,现为四川大学华西口腔医(学)院正畸科主任,正畸教研室主任。任四川省口腔医学会口腔正畸专业委员会副主任委员,中华口腔医学会正畸专业委员会常委,国际牙医师学院(International College of Dentistry,ICD)院士,国际正畸协会(World Federation of Orthodontists,WFO)会员,《国际口腔医学杂志》常务编委,《华西口腔医学杂志》、《Achieve of Oral Biology》、《European Journal of Orthodontics》、《America Journal of Orthodontics and Dentofacial Orthopedics》、《Angle Orthodontist》、《European Journal of Oral Science》、《Journal of Oral Pain》等审稿专家。以正畸治疗疼痛机制的基础研究和临床研究为主要研究方向,主持国家自然科学基金4项及部省级科学研究基金7项,已发表论文120余篇,SCI数据库收录50余篇(包括Journal Dental Research 3篇)。2013、2014、2015、2017、2018和2019年6次获得International Align Research Awards,是隐适美矫治系统亚太区专家委员会成员。近年来,在日本、新加坡、尼泊尔以及中国台湾地区和国内各大院校进行了百余场相关演讲,还在2014、2018年新加坡亚太峰会,2015年巴萨罗那欧洲峰会以及2016年澳门亚太峰会上进行大会发言,展示复杂拔牙病例,引起强烈反响。在各类矫治技术的推广应用上,成效显著,是业内知名专家,享有良好的声誉。
  • 基金资助:
    爱齐国际研究基金(2017)

Molar distalisation by using clear aligner treatment

Lai Wenli()   

  1. State Key Laboratory of Oral Diseases & National Clinical Research Center for Oral Diseases & Dept. of Orthodontics, West China Hospital of Stomatology, Sichuan University, Chengdu 610041, China
  • Received:2018-12-20 Revised:2019-03-27 Online:2019-07-01 Published:2019-07-12
  • Supported by:
    This study was supported by International Align Research Award Proposal(2017)

摘要:

无托槽隐形矫治技术问世以来,因其美观舒适,受到患者的欢迎。随着时间推移,隐形矫治材料的不断发展,软件设计的不断更新,正畸医生对该技术的应用有更深入的体会。无托槽隐形矫治技术推磨牙向后具有整体移动,效率高,患者感受舒适,容易取得患者的理解和配合,依从性高等优点。本文将展示典型病例,并对推磨牙向后的临床应用策略,包括适应证、附件的设计、分步的设计、牵引的使用等进行讨论,为广大正畸医生进一步学习掌握这项新技术提供指导。

关键词: 无托槽隐形矫治技术, 磨牙远移, 垂直向控制

Abstract:

Since the first appearance of clear aligners, the clear aligner technique has gained increasing interest of patients due to its aesthetic advantages. With the development in biomechanic features of the clear aligner material and innovations of digital design software, orthodontists’ understanding of clear aligner technique has been improving to a greater extent. Clear aligners have many advantages on molar distalisation, such as bodily movement, high efficiency, comfort, and high compliance. This article presents typical patients using molar distalisation approach, and discuss the treatment tactics on molar distalisation, including indication, attachment, staging and use of elastics, aiming to offering practical strategies for orthodontists who want to master the clear aligner technique in molar distal movement.

Key words: clear aligner treatment, molar distalisation, vertical control

中图分类号: 

  • R783.5

图 1

治疗前面相A:治疗前正面像;B:治疗前正面微笑像;C:治疗前侧面像。"

图 2

治疗前口内照片A:治疗前口内右侧咬合像;B治疗前口内正面像;C:治疗前左侧咬合像;D:覆覆盖像;E:上颌??像;F:下颌??像。"

图 3

治疗前全景片"

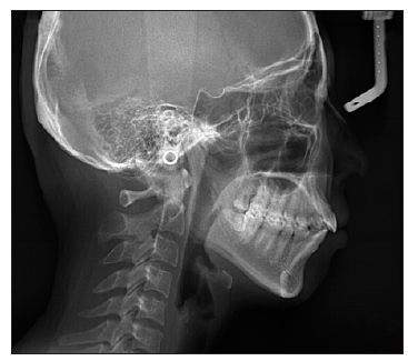
图 4

治疗前头侧位片"

图 5

Clincheck设计 A:Clincheck方案右侧观;B:左侧观;C:上颌??面观;D:下颌??面观。A、B:红色为附件,蓝色为精密切割的拉钩和磨牙挖开,便于橡皮圈牵引;C、D:蓝色为治疗前,白色为目标终末位。"

图 6

治疗后口内照A:治疗后口内右侧咬合像;B:治疗后口内正面像;C:治疗后左侧咬合像;D:覆覆盖像;E:上颌像;F:下颌像。A、C:红线显示治疗后尖牙为中性关系"

图 7

治疗后全景片"

图 8

治疗后头侧位片"

图 9

头测量重叠图和测量数据对比"

图 10

治疗后面像A:治疗后正面像;B:治疗后正面微笑像;C:治疗后侧面像。"

图 11

治疗前面像A:治疗前正面像;B:治疗前正面微笑像;C:治疗前侧面像。"

图 12

治疗前口内照片A:治疗前口内右侧咬合像;B:治疗前口内正面像;C:治疗前左侧咬合像;D:覆覆盖像;E:上颌??像;F:下颌??像。"

图 13

治疗前全景片"

图 14

治疗前头侧位片"

图 15

Clincheck 治疗方案A:Clincheck方案右侧观;B:左侧观;C:上颌面观;D:下颌面观。A、B:红色为附件,蓝色为精密切割的拉钩和磨牙挖开,便于橡皮圈牵引;C、D:蓝色为治疗前,白色为目标终末位。"

图 16

治疗后口内照片 A:治疗后口内右侧咬合像,红色线条显示尖牙关系,治疗后改为中性;磨牙区箭头显示右侧磨牙关系已改为中性关系;B:治疗后口内正面像;C:治疗后左侧咬合像,尖牙改为中性关系;D:覆??覆盖像,白色箭头显示正常覆覆盖,开已经改善;E:上颌??像;F:下颌像。"

图 17

治疗中覆覆盖的变化A:治疗前;B:治疗中6个月;C:治疗中12个月;D:治疗中19个月;E:治疗后。"

图 18

治疗后全景片"

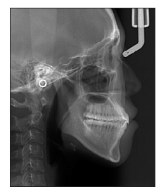
图 19

治疗后头侧位片"

图 20

治疗前后头测量数值和重叠图"

图 21

治疗后面相像对比A:正面微笑像;B:侧面像。"

图 22

推磨牙向后的Clincheck分步 A:推磨牙向后Ⅴ型分步;B:单侧推磨牙对Ⅱ类或Ⅲ类亚类病例,有无可比拟的优势,其他不移动的牙齿可以作为支抗牙;C:单侧推同侧上下颌磨牙的分步设计。"

[1] Ravera S, Castroflorio T, Garino F , et al. Maxillary molar distalization with aligners in adult patients: a multicenter retrospective study[J]. Prog Orthod, 2016,17:12.
[2] Rossini G, Parrini S, Castroflorio T , et al. Efficacy of clear aligners in controlling orthodontic tooth move-ment: a systematic review[J]. Angle Orthod, 2015,85(5):881-889.
[1] 吕欣,樊永杰. 无托槽隐形矫治技术研究热点的可视化分析[J]. 国际口腔医学杂志, 2023, 50(1): 72-81.
[2] 李俊霖,肖立伟. 隐形矫治技术推磨牙远移机制与疗效的研究进展[J]. 国际口腔医学杂志, 2022, 49(1): 109-115.
[3] 潘婷婷 房兵. 无托槽隐形矫治效能影响因素的研究进展[J]. 国际口腔医学杂志, 2015, 42(3): 364-366.
[4] 陈嵩. 无托槽隐形矫治技术——现在和将来[J]. 国际口腔医学杂志, 2013, 40(5): 561-564.
[5] 贺涵 贺红. 种植体支抗在正畸治疗中垂直向控制的应用进展[J]. 国际口腔医学杂志, 2013, 40(5): 648-652.
[6] 李石,段银钟,. 远移上颌磨牙对牙合及颌面垂直关系的影响[J]. 国际口腔医学杂志, 2006, 33(03): 234-236.
Viewed
Full text


Abstract

Cited

  Shared   
  Discussed   
[1] 张京剧. 青年期至中年期颅面复合体变化的头影测量研究[J]. 国际口腔医学杂志, 1999, 26(06): .
[2] 刘玲. 镍铬合金中铍对可铸造性和陶瓷金属结合力的影响[J]. 国际口腔医学杂志, 1999, 26(06): .
[3] 王昆润. 在种植体上制作固定义齿以后下颌骨密度的动态变化[J]. 国际口腔医学杂志, 1999, 26(06): .
[4] 王昆润. 重型颌面部炎症死亡和康复病例的实验室检查指标比较[J]. 国际口腔医学杂志, 1999, 26(06): .
[5] 逄键梁. 两例外胚层发育不良儿童骨内植入种植体后牙槽骨生长情况[J]. 国际口腔医学杂志, 1999, 26(05): .
[6] 温秀杰. 氟化物对牙本质脱矿抑制作用的体外实验研究[J]. 国际口腔医学杂志, 1999, 26(05): .
[7] 杨春惠. 耳颞神经在颞颌关节周围的分布[J]. 国际口腔医学杂志, 1999, 26(04): .
[8] 王昆润. 牙周炎加重期应选用何种抗生素[J]. 国际口腔医学杂志, 1999, 26(04): .
[9] 杨儒壮 孙宏晨 欧阳喈. 纳米级高分子支架材料在组织工程中的研究进展[J]. 国际口腔医学杂志, 2004, 31(02): 126 -128 .
[10] 严超然,李龙江. 肿瘤靶向药物载体系统的研究进展[J]. 国际口腔医学杂志, 2008, 35(S1): .