国际口腔医学杂志 ›› 2020, Vol. 47 ›› Issue (6): 635-643.doi: 10.7518/gjkq.2020102

• 论著 • 上一篇    下一篇

穴位中频脉冲电刺激对下颌前伸大鼠咬肌改建的生理与生化研究

陈青青(),刘珍巧,王豫蓉()   

  1. 重庆医科大学附属口腔医院正畸科 口腔疾病与生物医学重庆市重点实验室 重庆市高校市级口腔生物医学工程重点实验室 重庆 401147
  • 收稿日期:2019-12-05 修回日期:2020-06-10 出版日期:2020-11-01 发布日期:2020-11-06
  • 通讯作者: 王豫蓉
  • 作者简介:陈青青,硕士,Email: 2017110898@stu.cqmu.edu.cn
  • 基金资助:
    重庆市卫生健康委员会中医药科技项目(2019ZY023110);重庆高校创新团队建设计划(CXTDG201602006)

Physiological and biochemical study of acupoint mid-frequency pulse electrical stimulation on masseter muscle adapta-tions in rats with mandibular

Chen Qingqing(),Liu Zhenqiao,Wang Yurong()   

  1. Dept. of Orthodontics, Stomatological Hospital of Chongqing Medical University, Chongqing Key Laboratory of Oral Diseases and Biomedical Science, Chong-qing Municipal Key Laboratory of Oral Biomedical Engineering of Higher Education, Chongqing 401147, China
  • Received:2019-12-05 Revised:2020-06-10 Online:2020-11-01 Published:2020-11-06
  • Contact: Yurong Wang
  • Supported by:
    Science and Technology Project of Traditional Chinese Medicine of Chongqing Health Com-mittee(2019ZY023110);Chongqing University Innovation Team Construction Plan(CXTDG201602006)

摘要:

目的 研究穴位中频脉冲电刺激对下颌前伸大鼠咬肌肌电和脑源性神经营养因子(BDNF)表达的影响。方法 60只雄性Sprague-Dawley大鼠随机分为3个大组(实验组、条件对照组和空白对照组),每个大组根据实验观测天数又随机分为4个小组(3、7、14、21 d组),共12组(n=5)。实验组戴用前导下颌装置且接受穴位中频脉冲电刺激;条件对照组戴用前导下颌装置但不接受穴位中频脉冲电刺激;空白对照组不戴用前导下颌装置也不接受穴位中频脉冲电刺激。选择大鼠双侧颊车穴进行中频脉冲电刺激,参数设置为:正弦波形,0~150 Hz调制频率,2 000~8 000 Hz中频电频率。采用BL-420F生物信号采集与分析系统记录各组大鼠在不同实验时期(3、7、14、21 d)静息状态下的咬肌肌电,采用免疫组织化学染色法检测各组大鼠咬肌中BDNF蛋白的表达情况,采用实时荧光定量聚合酶链反应检测各组大鼠咬肌中BDNF mRNA的相对表达量。结果 实验组与条件对照组的咬肌肌电与BDNF蛋白和mRNA表达在观察期间均呈先上升后下降的趋势;3 d时,实验组咬肌肌电和BDNF蛋白表达水平均较条件对照组高(P<0.05);21 d时,实验组咬肌肌电和BDNF蛋白表达水平已基本恢复至正常水平,而条件对照组仍高于空白对照组(P<0.05)。结论 穴位中频脉冲电刺激可早期上调下颌前伸大鼠咬肌BDNF的表达,加快咬肌肌电恢复至正常水平的速度,促进大鼠咬肌适应性改建。

关键词: 电刺激, 下颌前伸, 咬肌, 肌电, 脑源性神经营养因子

Abstract:

Objective This study aimed to investigate the effects of acupoint mid-frequency pulse electrical stimulation on the surface electromyography and the expression of brain-derived neurotropic factor (BDNF) in the mandibular protrusion of Sprague-Dawley (SD) rats. Methods Sixty male SD rats were randomly divided into three large groups, namely, blank control, conditional control (with functional appliance and without acupoint mid-frequency pulse electrical stimulation therapy) and experimental groups (with functional appliance and acupoint mid-frequ- ency pulse electrical stimulation therapy). Each large group was randomly divided into four groups (3, 7, 14 and 21 days according to the number of experimental observation days), resulting in 12 groups (n=5). In this experiment, acupuncture points were selected on both sides of the rat, and the parame-ters of acupoint mid-frequency pulse electrical stimulation therapy were set as follows: sinusoidal waveform, 0-150 Hz modulation frequency, and 2 000-8 000 Hz intermediate frequency electrical frequency. The BL-420F biological signal acquisition and analysis system was used to record the electromyograms of rats in the resting state at different experimental periods (3, 7, 14, and 21 days). Immunohistochemistry and real-time quantitative polymerase chain reaction were carried out to detect the protein and mRNA expression levels of BDNF in the masseter muscle of rats. Results The electromyo-grams of masseter muscle, the protein and mRNA expression levels of BDNF first increased and then decreased in the experimental and condition control groups. Moreover, the electromyography of masseter muscle, the protein and mRNA expression levels of BDNF in the experimental group were higher than those in the condition control group on day 3 (P<0.05); the electromyography of masseter and the protein and mRNA expression levels of BDNF in the experimental group basically returned to the normal level on day 21, while those in the condition control group remained higher than those in the blank control group (P<0.05). Conclusion Acupoint mid-frequency pulse electrical stimulation therapy can improve the expression of BDNF in the masseter muscle of rats with functional mandibular protrusion in the early stage, accelerate the recovery of the masseter muscle to normal level, and may improve the treatment of functional appliance.

Key words: electric stimulation, mandibular protrusion, masseter muscle, electromyographic, brain-derived neuro-tropic factor

中图分类号: 

  • R78

图1

颊车穴定位"

表1

qRT-PCR引物序列"

引物名称 引物序列(5’—3’)
β-actin F:TCATGAAGTGTGACGTGGACATC
R:TGTTGCATTTGCGGGGACGATG
BDNF F:GAGCTGAGCGTGTGTGACAG
R:CGCCAGCCAATTCTCTTTTTGC

图2

各组大鼠下颌姿势位咬肌静息肌电变化"

表2

各组大鼠下颌姿势位咬肌静息积分肌电值"

戴入时间 空白对照组 条件对照组 实验组
戴入前 143.81±5.20 147.71±4.27 150.61±2.41
戴入当时 149.40±5.83 214.71±4.79a 241.13±6.85ab
戴入3 d 142.43±7.65 202.67±5.89a 228.40±7.58ab
戴入7 d 149.99±2.13 188.16±3.92a 204.66±6.89ab
戴入14 d 144.44±5.46 178.74±3.65a 166.43±5.03ab
戴入21 d 148.59±3.15 175.49±2.65a 155.11±7.44b

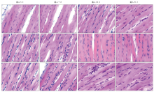
图3

各组大鼠下颌姿势位时咬肌的组织学变化 HE × 400 上:空白对照组;中:条件对照组;下:实验组。"

图4

各组大鼠咬肌BDNF蛋白的表达变化 SABC × 400 上:空白对照组;中:条件对照组;下:实验组。"

表3

大鼠咬肌BDNF蛋白的IOD测量值变化"

戴入时间/d 空白对照组 条件对照组 实验组
3 158.16±15.64 167.50±5.96 183.69±16.88ab
7 156.49±12.22 225.20±10.54a 213.43±9.49a
14 150.53±6.94 229.14±9.68a 196.45±13.11ab
21 149.33±5.64 200.93±20.25a 155.63±10.09b

表4

各组大鼠咬肌BDNF mRNA的相对表达量"

戴入时间/d 空白对照组 条件对照组 实验组
3 1.03±0.22 1.29±0.13 1.68±0.30ab
7 1.02±0.0.14 1.62±0.29a 1.43±0.20a
14 1.01±0.14 1.47±0.17a 1.36±0.34a
21 1.01±0.20 1.31±0.28a 1.17±0.33b
[1] 傅民魁, 张丁, 王邦康, 等. 中国25 392名儿童与青少年错牙合畸形患病率的调查[J]. 中华口腔医学杂志, 2002,37(5):371-373.
Fu MK, Zhang D, Wang BK, et al. The prevalence of malocclusion in China: an investigation of 25 392 children[J]. Chin J Stomatol, 2002,37(5):371-373.
[2] Sood S, Kharbanda OP, Duggal R, et al. Neuromus-cular adaptations with flexible fixed functional ap-pliance—a 2-year follow-up study[J]. J Orofac Orthop, 2011,72(6):434-445.
doi: 10.1007/s00056-011-0048-x pmid: 22124508
[3] 王维铎, 宋喆. 低频调制中频电治疗软组织疼痛疗效观察[J]. 中华理疗杂志, 1997,20(1):46.
Wang WD, Song Z. Observation on the effect of low frequency modulated medium frequency electric therapy on soft tissue pain[J]. Chin J Phys Ther, 1997,20(1):46.
[4] Ba YC, Dai P, Zhou HL, et al. Spatiotemporal changes of NGF, BDNF and NT-3 in the developing spinal cords of embryonic chicken[J]. Neurochem Res, 2010,35(2):273-278.
pmid: 19851867
[5] Zhang JY, Yu ZG, Yu ZQ, et al. rAAV-mediated de-livery of brain-derived neurotrophic factor promotes neurite outgrowth and protects neurodegeneration in focal ischemic model[J]. Int J Clin Exp Pathol, 2011,4(5):496-504.
pmid: 21738820
[6] Rabie AB, Zhao Z, Shen G, et al. Osteogenesis in the glenoid fossa in response to mandibular advancement[J]. Am J Orthod Dentofacial Orthop, 2001,119(4):390-400.
pmid: 11298312
[7] Pepicelli A, Woods M, Briggs C. The mandibular muscles and their importance in orthodontics: a contemporary review[J]. Am J Orthod Dentofacial Orthop, 2005,128(6):774-780.
pmid: 16360920
[8] Proffit WR, Tulloch J. Preadolescent Class Ⅱ problems: treat now or wait[J]. Am J Orthod Dentofac Orthop, 2002,121(6):560-562.
[9] Antonarakis GS, Kiliaridis S. Predictive value of masseter muscle thickness and bite force on class Ⅱ functional appliance treatment: a prospective con-trolled study[J]. Eur J Orthod, 2015,37(6):570-577.
doi: 10.1093/ejo/cju089 pmid: 25582592
[10] Antonarakis GS, Kjellberg H, Kiliaridis S. Bite force and its association with stability following class Ⅱ/1 functional appliance treatment[J]. Eur J Orthod, 2013,35(4):434-441.
doi: 10.1093/ejo/cjs038 pmid: 22828079
[11] Vardimon AD, Graber TM, Voss LR, et al. Functional orthopedic magnetic appliance (FOMA) Ⅲ: modus operandi[J]. Am J Orthod Dentofac Orthop, 1990,97(2):135-148.
[12] 于淑芬, 佟俐, 刘淑芳, 等. 调制中频脉冲电促进周围神经功能恢复的研究[J]. 中华理疗杂志, 1997,20(1):3-7.
Yu SF, Tong L, Liu SF, et al. Research on modulated medium frequency impulsed electrotherapy for promoting the peripheral nerves fuoction recovery in rabbits[J]. Chin J Phys Ther, 1997,20(1):3-7.
[13] Kern H, Boncompagni S, Rossini K, et al. Long-term denervation in humans causes degeneration of both contractile and excitation-contraction coupling ap-paratus, which is reversible by functional electrical stimulation (FES): a role for myofiber regeneration[J]. J Neuropathol Exp Neurol, 2004,63(9):919-931.
doi: 10.1093/jnen/63.9.919 pmid: 15453091
[14] 杜宝琮, 杜威, 刘烁, 等. 超声-中频电疗的镇痛效果及其机制的实验研究[J]. 中华物理医学与康复杂志, 2004,26(8):456-458.
Du BZ, Du W, Liu S, et al. The pain-relieving effect of ultrasound-medium frequency electrotherapy and the underlying mechanism[J]. Chin J Phys Med Rehabilitation, 2004,26(8):456-458.
[15] 乔志恒, 华桂茹. 理疗学[M]. 北京: 华夏出版社, 2003: 84.
Qiao ZH, Hua GR. Physiotherapy[M]. Beijing: Huaxia Publishing House, 2003: 84.
[16] 徐照. 地仓透刺颊车治疗面瘫的解剖学基础[J]. 上海针灸杂志, 2008,27(4):35-37.
Xu Z. Anatomic basis for the treatment of facial paralysis by Dicang-through-Jiache acupuncture[J]. Shanghai J Acupunct Moxibustion, 2008,27(4):35-37.
[17] 王敏, 刘雅静. 经筋刺法治疗周围性面神经麻痹50例临床观察[J]. 新中医, 2007,39(5):51-52.
Wang M, Liu YJ. Treatment of peripheral facial paralysis by meridian needling: a clinical observation of 50 cases[J]. J New Chin Med, 2007,39(5):51-52.
[18] 陈嬿冰. 局部与远端选穴治疗颞下颌关节咀嚼肌功能紊乱疼痛的临床研究[D]. 广州: 广州中医药大学, 2016.
Chen YB. The clinical study on treatment of tem-poromandibular disorders dysfunctional pain by electroacupuncture at homotopic and heterotopic nerve segments[D]. Guangzhou: Guangzhou Univer-sity of Chinese Medicine, 2016.
[19] van Eijden TM, Blanksma NG, Brugman P. Ampli-tude and timing of EMG activity in the human mas-seter muscle during selected motor tasks[J]. J Dent Res, 1993,72(3):599-606.
pmid: 8450119
[20] Xiao JZ, Gao JM, Wang HR, et al. The sEMG characteristics of the low back muscles during aerobic cycling[J]. Biomed Mater Eng, 2014,24(6):2571-2576.
doi: 10.3233/BME-141072 pmid: 25226959
[21] Dupont-Versteegden EE, Houlé JD, Dennis RA, et al. Exercise-induced gene expression in soleus muscle is dependent on time after spinal cord injury in rats[J]. Muscle Nerve, 2004,29(1):73-81.
doi: 10.1002/mus.10511 pmid: 14694501
[1] 肖朋1 王兵1 黄旭1 刘海霞1 王虹2. 应激状态下大鼠咬肌活动性与颞下颌关节病变的相关性分析[J]. 国际口腔医学杂志, 2014, 41(4): 406-408.
[2] 漆晓玲 孟姝 吴亚菲. 电刺激对牙周组织作用的研究进展[J]. 国际口腔医学杂志, 2014, 41(3): 365-367.
[3] 杨文宾 李春洁 门乙 韩波 李龙江 潘剑. 保留腮腺咬肌筋膜预防Frey综合征的系统评价与Meta分析[J]. 国际口腔医学杂志, 2013, 40(6): 730-735.
[4] 曹俊 唐恩溢 杨旭东 蒲玉梅 卢明星. 下颌前突患者升支矢状劈开术前后咀嚼肌的肌电分析[J]. 国际口腔医学杂志, 2012, 39(2): 145-148.
[5] 曹俊综述 唐恩溢审校. 正颌手术后咀嚼肌改变的研究进展[J]. 国际口腔医学杂志, 2010, 37(02): 210-210~213.
[6] 马迅,王大为,. 青少年安氏Ⅱ类1分类错的肌电研究[J]. 国际口腔医学杂志, 2007, 34(05): 387-389.
[7] 吴莉萍,凌均棨,王大为,. 下颌前伸后对髁突软骨的影响及其作用机制[J]. 国际口腔医学杂志, 2006, 33(05): 382-383.
[8] 英敏霞,宋代辉. 翼外肌在颞下颌关节运动中的作用[J]. 国际口腔医学杂志, 2005, 32(05): 350-352.
[9] 陈雨雪 车晓霞 陈扬熙 . 肌肉形态功能与面颌形态的关系[J]. 国际口腔医学杂志, 2003, 30(02): 157-159.
[10] 葛尚军. 几种下颌前伸固定功能矫治器的简介[J]. 国际口腔医学杂志, 2002, 29(03): -.
Viewed
Full text


Abstract

Cited

  Shared   
  Discussed   
[1] 王昆润. 修补颌骨缺损的新型生物学相容材料[J]. 国际口腔医学杂志, 1999, 26(06): .
[2] 陆加梅. 不可复性关节盘移位患者术前张口度与关节镜术后疗效的相关性[J]. 国际口腔医学杂志, 1999, 26(06): .
[3] 王昆润. 咀嚼口香糖对牙周组织微循环的影响[J]. 国际口腔医学杂志, 1999, 26(06): .
[4] 宋红. 青少年牙周炎外周血分叶核粒细胞的趋化功能[J]. 国际口腔医学杂志, 1999, 26(06): .
[5] 高卫民,李幸红. 发达国家牙医学院口腔种植学教学现状[J]. 国际口腔医学杂志, 1999, 26(06): .
[6] 侯锐. 正畸患者釉白斑损害的纵向激光荧光研究[J]. 国际口腔医学杂志, 1999, 26(05): .
[7] 轩东英. 不同赋形剂对氢氧化钙抗菌效果的影响[J]. 国际口腔医学杂志, 1999, 26(05): .
[8] 房兵. 唇腭裂新生儿前颌骨矫正方法及对上颌骨生长发育的影响[J]. 国际口腔医学杂志, 1999, 26(05): .
[9] 杨美祥. 前牙厚度在预测上下颌牙量协调性中的作用[J]. 国际口腔医学杂志, 1999, 26(04): .
[10] 赵艳丽. 手术刀、电凝、CO_2和KTP激光对大鼠舌部创口的作用[J]. 国际口腔医学杂志, 1999, 26(04): .